Conteúdo copiado com sucesso!

Embolia Séptica

Voltar
Texto alternativo para a imagem
Texto alternativo para a imagem
Texto alternativo para a imagem
Texto alternativo para a imagem
Texto alternativo para a imagem
Texto alternativo para a imagem
Texto alternativo para a imagem Créditos: Dra. Elazir Mota - Rio de Janeiro/RJ

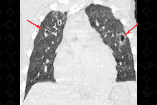
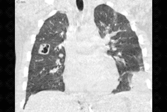
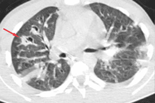
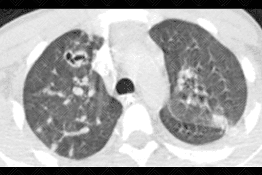
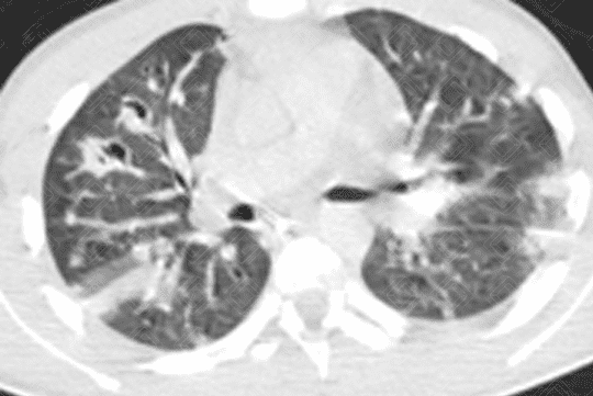
Descrição da lesão: Tomografia computadorizada do tórax (imagem axial e reformatação coronal) demonstrando opacidades nodulares bilaterais, esparsas e predominantemente periféricas, em vários estágios de escavação (setas vermelhas).

Embolia séptica: A embolia séptica pulmonar ocorre quando os fragmentos de trombo contêm microorganismos, em geral bactérias. Os principais fatores de risco incluem: uso de drogas intravenosas, presença de cateter intravascular, infecção generalizada, principalmente nos imunodeficientes, doença cardíaca congênita, tromboflebite séptica e processos supurativos da cabeça e pescoço. O agente mais comumente isolado em hemoculturas é o Staphylococcus aureus . Diante da suspeita clínica, podem ser solicitados radiografia ou tomografia computadorizada do tórax.

Quadro clínico: O sintoma mais comum é a febre, com duração média prévia ao diagnóstico, de uma a duas semanas. Outros sintomas incluem tosse e hemoptise.

    Exames de imagem:
  • Radiografia de tórax: P odemos observar a presença de opacidades periféricas múltiplas, arredondadas ou cuneiformes. A escavação das lesões é frequente;
  • Tomografia computadorizada do tórax: Nódulos em diferentes estágios de escavação, sendo mais numerosos na periferia dos pulmões e nos lobos inferiores. Podem ser observadas ainda consolidações geralmente subpleurais e cuneiformes.

Diagnósticos diferenciais: Metástases pulmonares, broncopneumonia, aspergilose angioinvasiva, linfoma e granulomatose de Wegener.

Autoria principal: Elazir Mota (Radiologia, especialista em Radiologia Pediátrica).

Elsaghir H, Al Khalili Y. Septic Emboli. [Internet]. StatPearls. Treasure Island, FL: StatPearls Publishing. (Accessed on April 12, 2023).

Rathbun SW, Raskob GE, Whitsett TL. Sensitivity and specificity of helical computed tomography in the diagnosis of pulmonary embolism: a systematic review. Ann Intern Med. 2000; 132:227-232.

Bhalla S, Lopez-Costa I. MDCT of acute thrombotic and non-thrombotic pulmonary emboli. Eur Respir J. 2007; 64:54-64.

Engelke C, Schaefer-Prokop C, Schirg E, et al. High-resolution CT and CT angiography of peripheral pulmonary vascular disorders. Radiographics. 2002; 22(4):739-64.

Brown MD, Rowe BH, Reeves MJ, et al. The accuracy of the enzyme-linked immunosorbent assay D-dimer test in the diagnosis of pulmonary embolism: a meta-analysis. Ann Emerg Med. 2002; 40:133-134.