Conteúdo copiado com sucesso!

Encefalomalácia Multicística

Voltar
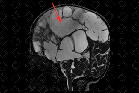
Texto alternativo para a imagem Figura 1. Créditos: Dra. Elazir Mota - Rio de Janeiro/RJ
Texto alternativo para a imagem Figura 2. Créditos: Dra. Elazir Mota - Rio de Janeiro/RJ
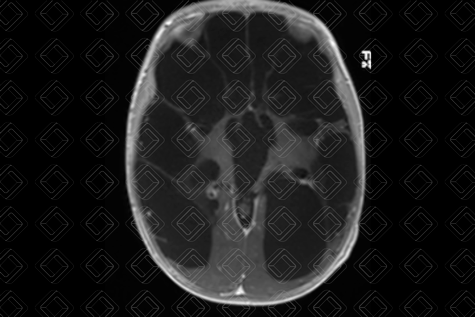
Texto alternativo para a imagem Figura 3. Créditos: Dra. Elazir Mota - Rio de Janeiro/RJ

Descrição das figuras 1, 2 e 3: Ressonância magnética de crânio com sequência CISS. Uma sequência ponderada em T2, cujas imagens císticas apresentam sinal elevado (seta vermelha) e imagens ponderadas em T1 nos planos axial e sagital. É possível observar as múltiplas imagens císticas ocupando a região cortical e de substância branca, predominando no compartimento supratentorial e poupando cerebelo e tronco (setas amarelas).

Encefalomalácia multicística: Caracteriza-se pela presença de múltiplas cavidades císticas, dispersas pelo parênquima encefálico, acometendo substância branca e córtex, como consequência de um insulto hipóxico-isquêmico.

Sequela grave de injúria hipóxico-isquêmica, habitualmente observada no recém-nascido a termo.

Quadro clínico: V ariável, desde morte neonatal ou pode manifestar-se porteriormente, como paralisia cerebral e/ou deficiência mental grave.

    Achados de imagem: Observados na tomografia computadorizada crânio e/ou na ressonância magnética do crânio:
  • Múltiplas cavidades císticas, de tamanhos variados, envolvendo substância branca e região córtico-subcortical;
  • Em geral, os cistos poupam cerebelo e o tronco cerebral (exceção para os casos em que ocorre degeneração do trato córtico-espinhal associada);
  • Dilatação ex-vacuum do sistema ventricular por atrofia do parênquima cerebral;
  • Por definição, não há comunicação dos cistos com as cavidades ventriculares.

Diagnósticos diferenciais: Os principais são com cisto porencefálico e hidranencefalia.

Autoria principal: Elazir Mota (Radiologia, especialista em Radiologia Pediátrica).

Pereira RG, Niemeyer B, Hollanda RTL, et al. Lesões císticas intracranianas não neoplásicas: nem tudo são cistos aracnoides. Radiol Bras. 2021; 54(1):49–55.

Ginat DT, Meyers SP. Intracranial lesions with high signal intensity on T1-weighted MR images: differential diagnosis. Radiographics. 2012; 32:499–516.10.

Fenichel GM. Hypoxic-ischemic encephalopathy in the newborn. Arch Neurol. 1983; 40:261-266.

Stannard MW, Jimenez JF. Sonographic recognition of multiple cystic encephalomalacia. AJR Am J Roentgenol. 1983; 141(6):1321-1324.

Naidich TP, Chakera TM. Multicystic encephalomalacia: CT appearance and pathological correlation. Journal of computer assisted tomography. 1984; 8(4):631-6.