Conteúdo copiado com sucesso!

Endometriose

Voltar
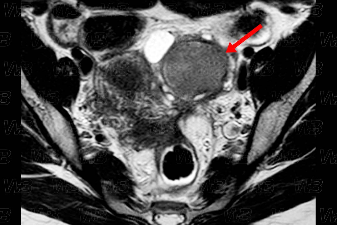
Texto alternativo para a imagem Figura 1. Crédito: Dra. Elazir Mota - Rio de Janeiro/RJ
Texto alternativo para a imagem Figura 2. Crédito: Dra. Elazir Mota - Rio de Janeiro/RJ

Descrição da lesão: Ressonância magnética da pelve feminina, estudo coronal (figura 1) e axial (figura 2) em T2, evidenciando volumoso endometrioma no ovário esquerdo, bastante hipointenso em T2, configurando shading .

Endometriose: É uma importante desordem ginecológica caracterizada pelo crescimento de tecido endometrial, glândulas funcionais e estroma em localização ectópica, fora dos limites uterinos. Trata-se de uma doença comum, predominantemente identificada na idade reprodutiva por ser estrogênio dependente. A idade média ao diagnóstico é 25-29 anos.

Quadro clínico: S eus principais sintomas são dismenorreia, dor pélvica e dispareunia. Também podem ocorrer infertilidade, alterações urinárias e intestinais.

    Exames de imagem:
  • Ultrassonografia da pelve: É o método diagnóstico mais utilizado para diagnóstico inicial da endometriose. Vale destacar no entanto, que apesar dos recentes avanços no método para o diagnóstico de endometriose, trata-se de exame operador dependente, sendo sua principal limitação;
  • Ressonância magnética da pelve: P rincipal exame de imagem a ser solicitado, diante da suspeita clínica. O protocolo utilizado deve incluir estudo T1 no plano axial e sagital. Realizar um pulso de saturação de gordura, deve ser acrescentado para auxiliar na identificação de focos endometriais com conteúdo hemático. O sinal na sequência T2 é variável. O gadolínio não acrescenta grandes informações. Vale destacar que os endometriomas geralmente, surgem como lesões hiperintensas em T1 e predominantemente, hipointensas nas imagens em T2 (aspecto denominado em sombra - shading ).

Diagnósticos diferenciais: C istos dermóides, cistos ovarianos hemorrágicos e principalmente, neoplasias mucinosas.

Autoria principal: Elazir Mota (Radiologia, especialista em Radiologia Pediátrica).

Revisão: Caroline Oliveira (Ginecologia, com doutorado em Ciências Médicas pela UFF).

    Equipe adjunta:
  • Camilla Luna (Ginecologista e Obstetra pela UERJ e FEBRASGO, especialista em Reprodução Humana pela AMB);
  • Ana Luiza Leal (Ginecologista, especialista em Mastologia);
  • Ênio Damaso (Ginecologista e Obstetra, especialista em Medicina Fetal).

Zuber M, Shoaib M, Kumari S. Magnetic resonance imaging of endometriosis: a common but often hidden, missed, and misdiagnosed entity. Pol J Radiol. 2022; 87:e448-e461.

Fernandes CE, Sá MFS. Tratado de Ginecologia da FEBRASGO. 1a ed. Rio de Janeiro: Elsevier, 2019. [cms-watermark]

Casper RF. Introduction: A focus on the medical management of endometriosis. Fertil Steril. 2017; 107(3):521-522. [cms-watermark]

Avila I, Filogônio IDS, Costa LMP, et al. Anatomical distribution of deep infiltrating endometriosis and its relationship to pelvic pain. J Gynecol Surg 2016; 32: 99-103.

Gupta S, Harlev A, Agarwal A. Endometriosis: a comprehensive update. New York: Springer International Publishing, 2015.

Coutinho A Jr, Bittencourt LK, Pires CE, et al. MR imaging in deep pelvic endometriosis: a pictorial essay. Radiographics. 2011; 31(2):549-67. [cms-watermark]