Conteúdo copiado com sucesso!

Esclerose Múltipla

Voltar
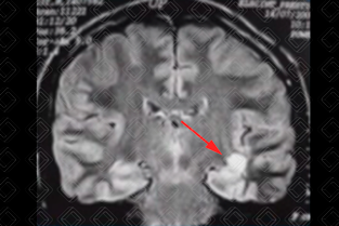
Texto alternativo para a imagem Créditos: Dra. Elazir Mota - Rio de Janeiro/RJ
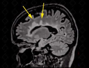
Texto alternativo para a imagem Créditos: Dra. Elazir Mota - Rio de Janeiro/RJ

Descrição das imagens: Ressonância magnética de crânio, sequência FLAIR, evidenciando na primeira imagem lesões hiperintensas nos lobos temporais (seta vermelha). Na segunda imagem observamos os clássicos dedos de Dawson, lesões hiperintensas, perpendiculares aos ventrículos laterais (setas amarelas).

Esclerose múltipla: Trata-se de uma doença inflamatória e desmielinizante do sistema nervoso central, acometendo principalmente adultos jovens e de meia idade. Os critérios de McDonald determinam que o diagnóstico consiste na evidência de disseminação das lesões no tempo e espaço. Desse modo, a ressonância magnética de crânio tem um papel fundamental ao mostrar as lesões (disseminação no espaço) e no follow-up , demonstrando o surgimento de novas lesões (disseminação no tempo).

Quadro clínico: O quadro clínico é bem variável e pode surgir com neurite óptica, diplopia, neuralgia trigeminal, vertigem, fadiga, distúrbios do sensório, doença de primeiro neurônio motor, incontinência urinária, ataxia e outras.

    Exame de imagem: O exame de escolha para avaliação de esclerose múltipla é a r essonância magnética de crânio:
  • Lesões "salpicadas", extensas e heterogêneas;
  • Lesões periventriculares envolvendo os ventrículos laterais, terceiro e quarto ventrículos (mais clássico). Quando as lesões são ovoides e perpendiculares aos ventrículos são chamadas de lesões em dedos de Dawson;
  • Tipicamente envolvem corpo caloso, fibras em U, tronco cerebral, lobos temporais, cerebelo e região medular;
  • Neurite óptica relacionada à esclerose múltipla: costuma ser bilateral e extensa, com curso clínico e evolução mais graves.
    Follow-up :
  • Avaliação de novos surtos;
  • Avaliação de doença acumulada;
  • Atrofia cerebral;
  • Complicações (LEMP).

Diagnósticos diferenciais: Encefalomielite aguda disseminada ( ADEM), mitocondriopatias (doença de Leigh), vasculites, enxaqueca, lúpus eritematoso, mielite transversa e outros.

Autoria principal: Elazir Mota (Radiologia, especialista em Radiologia Pediátrica).

Polman CH, Reingold SC, Edan G, et al. Diagnostic criteria for multiple sclerosis: 2005 revisions to the 'McDonald Criteria'. Ann Neurol. 2005; 58(6):840-6.

Polman CH, Reingold SC, Banwell B, et al. Diagnostic Criteria for Multiple Sclerosis: 2010 Revisions to the McDonald Criteria. Ann Neurol. 2011; 69:292-302.

Bot JC, Barkhof F, Polman CH, et al. Spinal cord abnormalities in recently diagnosed MS patients: added value of spinal MRI examination. Neurology. 2004; 62:226-233.

Ge Y, Grossman R, Udupa J, et al. Brain Atrophy in Relapsing-Remitting Multiple Sclerosis: Fractional Volumetric Analysis of Gray Matter and White Matter. Radiology. 2001; 220(3):606-10.

Stosic M, Ambrus J, Garg N, et al. MRI Characteristics of Patients with Antiphospholipid Syndrome and Multiple Sclerosis. J Neurol. 2010; 257(1):63-71.