Conteúdo copiado com sucesso!

Esclerose Tuberosa - Achados Neurológicos

Voltar
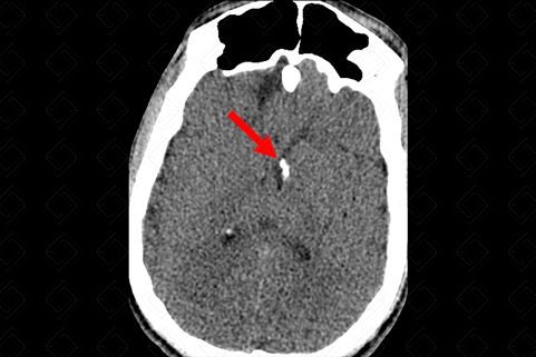
Texto alternativo para a imagem Figura 1. Créditos: Dra. Elazir Mota - Rio de Janeiro/RJ
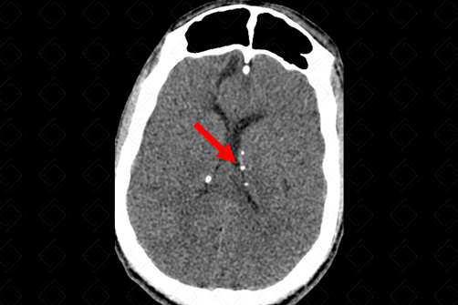
Texto alternativo para a imagem Figura 2. Créditos: Dra. Elazir Mota - Rio de Janeiro/RJ

Descrição das figuras 1 e 2: Tomografia computadorizada do crânio. Presença de nódulos subependimários calcificados – setas vermelhas (a calcificação deles permite a visualização na tomografia computadorizada). [cms-watermark]

Texto alternativo para a imagem Figura 3. Créditos: Dra. Elazir Mota - Rio de Janeiro/RJ

Descrição da figura 3: Ressonância magnética plano coronal e axial T2 revelando imagem hiperintensa, expandindo sulcos e giros nos lobos parietal e frontal direitos (setas amarelas). [cms-watermark]

Texto alternativo para a imagem Figura 4. Créditos: Elazir Mota - Rio de Janeiro/RJ

Descrição da figura 4: Imagens axiais em T1 pós-contraste, do mesmo paciente, evidenciando discreta área hipointensa na mesma localização (setas vermelhas). Paciente com critérios para esclerose tuberosa; essa área de displasia cortical pode ser considerada um túber cortical.

Esclerose tuberosa: Como já dito no tópico de abdome , o complexo esclerose tuberosa é uma desordem neurocutânea genética de herança autossômica dominante. Caracteriza-se por hamartomas generalizados e pela presença de neoplasias benignas ou raramente, malignas, acometendo vários órgãos, especialmente cérebro, retina, pele, rins, coração e pulmões.

    Aqui abordaremos as manifestações neurológicas mais comuns:
  • Túberes corticais: Essas lesões expansivas do SNC isoladamente não são diagnósticas de esclerose tuberosa, podendo ser observadas em outras patologias. Trata-se de hamartoma benigno presente no córtex de cerca de 95% dos pacientes com esclerose tuberosa. Esse tipo de alteração relaciona-se diretamente com as alterações e o quadro neurológico observado nesses doentes, incluindo epilepsia, distúrbios cognitivos e de comportamento. Caracterizam-se na ressonância magnética como lesões bem circunscritas, de baixo sinal em T1 e alto sinal em T2. Na maioria dos casos, a tomografia computadorizada do crânio falha na detecção dessas lesões ( figuras 3 e 4) ;
  • Nódulos subependimários: Representam hamartomas em crescimento e, comumente, são observados nesse grupo de pacientes. São lesões benignas, mas que podem degenerar para os astrocitomas de células gigantes. Caracterizam-se na tomografia de crânio em cerca de 88% dos casos e isso se deve ao fato da maioria deles serem calcificados nos estudos de imagem. Na ressonância apresentam sinal intermediário em T1 e iso a hipersinal em T2 (figuras 1 e 2);
  • Anormalidades da substância branca: Incluem os túberes corticais, as anomalias de migração neuronal e lesões “císticas”.

Autor(a) principal: Elazir Mota (Radiologia, especialista em Radiologia Pediátrica).

Umeoka S, Koyama T, Miki Y, et al. RadioGraphics. 2008; 28:7, e32.

Narayanan V. Tuberous sclerosis complex: genetics to pathogenesis. Pediatr Neurol. 2003; 29:404-409.

Sancak O, Nellist M, Goedbloed M, et al. Mutational analysis of the TSC1 and TSC2 genes in a diagnostic setting: genotype—phenotype correlations and comparison of diagnostic DNA techniques in tuberous sclerosis complex. Eur J Hum Genet. 2005; 13:731-741.