Conteúdo copiado com sucesso!

Esclerose Tuberosa

Voltar
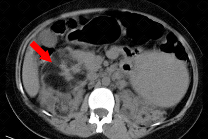
Texto alternativo para a imagem Créditos: Dra. Elazir Mota - Rio de Janeiro/RJ
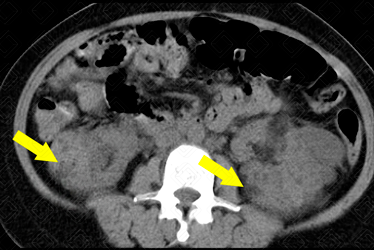
Texto alternativo para a imagem Créditos: Dra. Elazir Mota - Rio de Janeiro/RJ
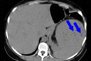
Texto alternativo para a imagem Créditos: Dra. Elazir Mota - Rio de Janeiro/RJ

Descrição das figuras: Rins tópicos, de volume aumentado, às custas de múltiplas formações nodulares, algumas espontaneamente densas e outras com densidade de gordura, distribuídas difusamente pelo parênquima renal, bilateralmente, devendo representar cistos (setas amarelas). Destaca-se formação nodular heterogênea, com densidade predominante de gordura, no polo superior do rim direito, medindo 8,3 x 7,6 cm, compatível com angiomiolipoma (seta vermelha) Moderada esplenomegalia heterogênea, medindo 15,3 cm, às custas de pequenas formações hipodensas, devendo representar hamartomas (setas azuis). Considerar, dentre as hipóteses diagnósticas, esclerose tuberosa como a mais provável para as alterações descritas acima.

Esclerose tuberosa: O complexo esclerose tuberosa é uma desordem neurocutânea genética de herança autossômica dominante. Caracteriza-se por hamartomas generalizados e pela presença de neoplasias benignas ou, raramente, malignas, acometendo vários órgãos, especialmente cérebro, retina, pele, rins, coração e pulmões. Apesar de os recentes avanços no tratamento terem melhorado a morbidade, o prognóstico permanece bastante ruim e cerca de 40% dos pacientes morrem próximo aos 35 anos. [cms-watermark]

Quadro clínico: T ríade que ajuda a sugerir o diagnóstico na infância: convulsões + retardo mental + adenomas sebáceos (Tríade de Vogt).

Os critérios diagnósticos têm como pilares os achados genéticos, por meio da identificação de mutação que inativa os genes supressores tumores TSC1 e TSC2, associados ou não a achados clínicos, que incluem 11 características principais (maiores): angiofibromas faciais, fibromas ungueais, máculas hipomelanocíticas, placas de Shagreen, múltiplos hamartomas renais, displasia cortical renal, nódulos subependimários, rabdomioma cardíaco, linfangioleiomiomatose pulmonar, angiomiolipoma renal (maior ou igual 2 mm), astrocitoma de células gigantes subependimário) e 6 menores: Lesões de pele em confete, fossas dentárias, fibromas intraorais, placas acrômicas intraretinianas, cistos renais múltiplos e hamartoma não renal. Considera-se diagnóstico definitivo na presença de dois critérios maiores ou um maior e dois menores.

    Exames de imagem: N este tópico falaremos das alterações abdominais da esclerose tuberosa. Em outros módulos, abordaremos aspectos neurorradiológicos e pulmonares. Na faixa pediátrica, idealmente essa avaliação deve ser realizada por ultrassonografia do abdome. Na população adulta, pode ser solicitado como aliado, tomografia computadorizada ou ressonância magnética do abdome.
  • Hepáticas e esplênicas: Presença de hamartomas são comuns nestes dois órgãos. Nestes casos, eles costumam ser múltiplos;
  • Renais: O acometimento renal e o neurológico são as principais causas de morbimortalidade associadas a esclerose tuberosa. O mais característico são os angiomiolipomas renais (tumores renais benignos), sendo observados em cerca de 80% dos pacientes com esclerose tuberosa. Eles crescem progressivamente ao longo dos anos, com seu pico na adolescência. Estes pacientes apresentam ainda cistos renais múltiplos, hipertensão arterial, pielonefrite e doença renal progressiva. Além disso, há relatos de maior incidência de carcinoma de células renais.

Diagnósticos diferenciais: Em geral, diante da história clínica e dos achados de imagem, outros diagnósticos diferenciais são excluídos.

Autoria principal: Elazir Mota (Radiologista, especialista em Radiologia Pediátrica).

Tuberous Sclerosis: Current Update Mindy X. Wang, Nicole Segaran, Sanjeev Bhalla, Perry J. Pickhardt, Meghan G. Lubner, Venkata S. Katabathina, and Dhakshinamoorthy Ganeshan RadioGraphics 2021 41:7, 1992-2010

De Waele L, Lagae L, Mekahli D. Tuberous sclerosis complex: the past and the future. Pediatr Nephrol. 2015; 30:1771-80.

Manoukian SB, Kowal DJ. Comprehensive imaging manifestations of tuberous sclerosis. AJR Am J Roentgenol. 2015; 204:933-43.

Leung AKC, Robson WLM. Tuberous sclerosis complex: a review. J Pediatr Health Care 2007;21(2):108–114.

Arslan A, Ciftci E, Cetin A, et al. Tuberous sclerosis: ultrasound, CT and MRI features of two cases with multiple organ involvement. Australas Radiol. 1998; 42:379-382.