Conteúdo copiado com sucesso!

Escoliose

Voltar
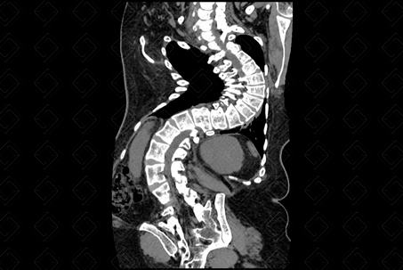
Texto alternativo para a imagem Créditos: Athena Hub/Medical Harbour

Descrição da figura: Tomografia computadorizada das colunas cervical, dorsal e lombar, plano coronal, evidenciando acentuada escoliose com convexidade para a esquerda.

Escoliose é definida como curvatura lateral anormal da coluna, podendo ser idiopática ou o paciente apresentar anormalidades estruturais (congênita) ou neurológicas. Por definição, escoliose é qualquer curvatura anormal da coluna com ângulo de Cobb > 10º . As curvaturas laterais assintomáticas, com ângulo de Cobb < ou = 10º, é conhecido como assimetria espinhal. [cms-watermark]

Etiologia: A maioria das escolioses são idiopáticas (cerca de 80% dos casos). Os outros 20% pertencem ao grupo neuromuscular (cujas causas incluem doenças neurológicas ou musculares que acarretam assimetrias musculares, podendo levar à acentuação na curvatura da coluna. Ex.: paralisia cerebral, malformação de Chiari, disrafismo, doença de Marfan e outras) e congênitas (podendo estar relacionado a falhas na fusão ou segmentação da coluna ou ambas, como na hemivértebra e displasias esqueléticas, como na acondroplasia).

    Exames de imagem:
  • Radiografia panorâmica da coluna PA e perfil em ortostase . Quando há escoliose, podemos acrescentar as incidências em flexão lateral direita ou esquerda. Os aspectos a serem avaliados são determinar que tipo de curvatura está presente. Se houver curvatura dupla, cada curva deve ser medida e descrita, reportar qualquer anormalidade na porção dos arcos costais visualizados ou vertebral, estabelecer a vértebra apical. O uso da flexão ajuda a determinar se a curvatura é estrutural ou compensatória;
  • Tomografia computadorizada e ressonância magnética da coluna lombar são utilizadas, principalmente, nos casos não idiopáticos onde existem suspeitas de alterações congênitas, como hemivértebra, e para avaliação do canal medular. Muito ortopedistas também solicitam esses exames para adequado planejamento cirúrgico (figura acima).

Cálculo do ângulo de Cobb: Traçamos linhas paralelas ao platô inferior e superior das vértebras limites. Depois traçamos linhas anteriores e perpendicularmente às linhas já traçadas e medimos o ângulo formado entre elas.

Autoria principal: Elazir Mota (Radiologia, especialista em Radiologia Pediátrica).

Greenspan Adam. Radiología de huesos y articulaciones. Marbá, 2006:405.

Kim H, Kim H, Moon E, et al. Scoliosis Imaging: What Radiologists Should Know. Radiographics. 2010; 30(7):1823-42.

Hefti F. Pediatric Orthopedics in Practice. Springer, 2007.

Montoya RD, Moreno LA,Castro LSR. [cms-watermark] Manual Práctico de Medidas en Radiologia Pediatrica. Ed Celsus.