Conteúdo copiado com sucesso!

Espondilodiscite Tuberculosa

Voltar
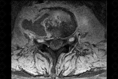
Texto alternativo para a imagem Créditos: Dra. Elazir Mota - Rio de Janeiro/RJ

Descrição da figura: Coleção paravertebral de paredes finas e limites bem definidos na sequência T1 pós-contraste. Notar o exuberante realce periférico. Cultura do material puncionado revelou Mycobacterium tuberculosis .

Espondilodiscite tuberculosa: T ambém conhecida como mal de Pott, trata-se de processo infeccioso na coluna causado pelo bacilo álcool-ácido resistente Mycobacterium tuberculosi s. A c oluna é o principal sítio de acometimento ósseo da tuberculose, responsável por 50% dos casos. Este agente acomete preferencialmente a coluna torácica . [cms-watermark]

Quadro clínico: E m geral, paciente refere dor na coluna e, comumente, pode evoluir para fraqueza de membros inferiores/paraplegia. Sintomas constitucionais, como perda de peso, fadiga e febre também são comumente relatados. Trata-se de quadro clínico insidioso e indolente, bem diferente da espondilodiscite piogênica, muitas vezes atrasando o diagnóstico e causando sequelas.

    Exames de imagem:
  • Radiografia da coluna: A disseminação da infecção é tipicamente descrita como "subligamentar": abaixo do ligamento longitudinal anterior, geralmente poupando os elementos posteriores e frequentemente envolvendo vários níveis. Devido à extensão subligamentar, pode haver alguma irregularidade da margem vertebral anterior. Esta é uma aparência clássica com espondilite tuberculosa, porém uma alteração bem discreta. Mais tarde, podem se desenvolver coleções paraespinhais que podem ser notavelmente grandes;
  • Tomografia computadorizada da coluna: N ão é o exame de escolha. Diante da suspeita radiográfica de espondilodiscite tuberculosa, idealmente devemos realizar RM de coluna;
  • Ressonância magnética (RM) da coluna: Os achados de imagem em RM suspeitos para espondilodiscite tuberculosa são: acometimento subligamentar multissegmentar, massa/abscesso paravertebral de limites bem definidos, disco relativamente poupado em fases precoces, e realce/alteração de sinal heterogênea dos corpos vertebrais.
    Diagnóstico diferencial:
  • Espondilodiscite piogênica (acomete preferencialmente coluna lombar e geralmente, de forma mais localizada- apenas 1 corpo vertebral);
  • Espondiloartropatias (espondilite anquilosante, psoriásica e reativa - no entanto, o acometimento vertebral tipicamente é acompanhado e, por vezes, precedido, por sacroileíte bilateral, podendo ser simétrica ou assimétrica, na dependência de cada origem etiológico);
  • Metástases (seu acometimento típico inicia-se nos pedículos vertebrais).

Autoria principal: Elazir Mota (Radiologia, especialista em Radiologia Pediátrica).

Sharif HS. Role of MR imaging in the management of spinal infections. AJR Am J Roentgenol. 1992; 158:1333–45.

Prasad A, Manchanda S, Sachdev N, et al. Imaging features of pediatric musculoskeletal tuberculosis. Pediatr Radiol. 2012; 42:1235–49.

Frel M, Białecki J, Wieczorek J, et al. Magnetic Resonance Imaging in Differentatial Diagnosis of Pyogenic Spondylodiscitis and Tuberculous Spondylodiscitis. Pol J Radiol. 2017; 82:71-87.

Cusmano F, Calabrese G, Bassi S, et al. Diagnosi radiologica della spondilodiscite: ruolo della Risonanza Magnetica [Radiologic diagnosis of spondylodiscitis: role of magnetic resonance]. Radiol Med. 2000; 100(3):112-9.

Resnik D. Osteomyelitis, septic arthritis and soft tissue infection: axial skeleton. In: Resnick D. Diagnosis of bone and joint disorders. 4th ed. Philadelphia: Saunders, 2002; 2481–509.