Conteúdo copiado com sucesso!

Esquizencefalia

Voltar
Texto alternativo para a imagem
Texto alternativo para a imagem
Texto alternativo para a imagem Créditos: Dra. Elazir Mota - Rio de Janeiro/RJ

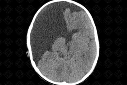
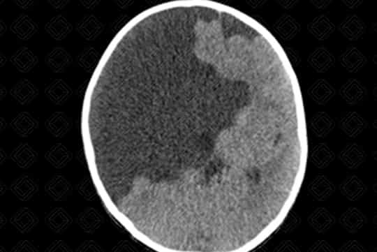
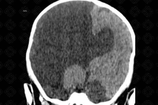
Descrição da lesão: Tomografia computadorizada do crânio com reformatações nos planos coronal e axial. Fenda preenchida por densidade liquórica na região parietal direita, caracterizando esquizencefalia de "lábios abertos" (primeira imagem).

Esquizencefalia : Trata-se de fenda transcortical delimitada por substância cinzenta. Elas podem ser de lábio aberto (grande defeito) ou lábio fechado (pequeno defeito). Até metade das esquizencefalias são bilaterais. Quando bilaterais, até cerca de 60% das esquizencefalias são de "lábios abertos" de ambos os lados.

    Quadro clínico:
  1. Defeito unilateral: convulsões ou leve déficit motor (hemiparesia "congênita").
  2. Bilateral: atraso do desenvolvimento, paresia, microcefalia, espasticidade.
    Exames de imagem:
  • Tomografia computadorizada do crânio: N a tomografia de crânio é de fácil visualização o defeito e sua comunicação com o sistema ventricular. Vale lembrar que a ausência de septo pelúcido está presente em quase todos os casos;
  • Ressonância magnética do crânio: A ressonância é o melhor método para a caracterização da malformação, evidenciando o defeito que se estende até o sistema ventricular e mostra a substância cinzenta displásica atapetando todo o "defeito".

Diagnósticos diferenciais: Os principais diagnósticos são por encefalia encefaloclástica, hidranencefalia e holoprosencefalia semilobar.

Autoria principal: Elazir Mota (Radiologia, especialista em Radiologia Pediátrica).

Silva GP, Pinto RNC, Spina RB, et al. Epilepsias no lactente: aspectos etiopatogênicos, métodos diagnósticos e condutas terapêuticas / Epilepsies in infants: etiopathogenic aspects, diagnostic methods and therapeutic conduct. Brazilian Journal of Development. 2022; 8(5)34281–34296.

Dale ST, Coleman LT. Neonatal alloimmune thrombocytopenia: antenatal and postnatal imaging findings in the pediatric brain. AJNR Am J Neuroradiol. 2002; 23(9):1457-65.

Hernández Y, Palma D, Aguilera M, et al. Esquizencefalia complicada con hidrocefalia. Arch Med. 2016; 12(3):24.

Nabavizadeh SA, Zarnow D, Bilaniuk LT, et al. Correlation of prenatal and posnatal MRI findings in schizencephaly. AJNR Am J Neuroradiol. 2014; 35(7):1418-24.