Conteúdo copiado com sucesso!

Esteatose Hepática

Voltar
Texto alternativo para a imagem
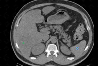
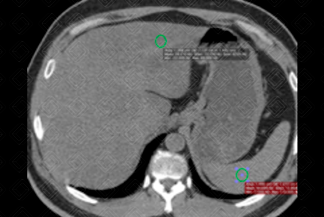
Texto alternativo para a imagem Figuras 1 e 2. Créditos: Dra. Elazir Mota - Rio de Janeiro/RJ

Descrição da lesão: Tomografia computadorizada do abdome, em fase sem contraste venoso. Foram medidos os coeficientes de atenuação hepáticos e esplênicos, com uma diferença entre eles superior a 10 UH, compatível com esteatose hepática (densidade hepática de 28 UH e esplênica de 42 UH).

Esteatose hepática: Representa o acúmulo de gordura nos hepatócitos. Na grande maioria das vezes os indivíduos com esteatose hepática são assintomáticos. Fatores de risco para a esteatose são: abuso da ingestão de álcool, diabetes, obesidade, desnutrição proteico-calórica, uso de corticosteroides, nutrição parental, alguns medicamentos, transplante hepático, síndrome de Reye e outros.

A esteatose hepática pode ter acometimento difuso ou focal.

Quadro clínico: A maioria dos pacientes é assintomático (isso pode complicar, inclusive, a adesão do paciente ao tratamento).

    Achados de imagem:
  1. Ultrassonografia do abdome: É o exame de escolha para rastreio de esteatose hepática. De um modo geral, a esteatose hepática é diagnosticada por este método, quando há aumento da ecogenicidade do parênquima hepático - ou seja, "fígado fica mais branco" - quando comparado ao parênquima renal. Pode ser graduada ainda em leve, moderada ou acentuada por este método.
  2. Tomografia computadorizada do abdome: Caracteriza-se por uma redução difusa na densidade do parênquima hepático quando comparada ao baço (redução igual ou superior a 10 UH em relação ao parênquima esplênico). É importante lembrar que não é o método de escolha devido à radiação ionizante excessiva.
  3. Ressonância magnética do abdome: Analisa-se a sequência T1 em fase e fora de fase. Na esteatose, a sequência T1 em fase mostra fígado com sinal homogêneo e um pouco mais hiperintenso que o habitual. Já na sequência T1 fora de fase observa-se importante e evidente queda do sinal hepático.

Diagnósticos diferenciais: A esteatose difusa usualmente é de fácil detecção. Quando a esteatose é focal, no entanto, ela pode simular uma lesão hepática focal.

Autoria principal: Elazir Mota (Radiologia, especialista em Radiologia Pediátrica).

Lawrence DA, Oliva IB, Israel GM. Detection of hepatic steatosis on contrast-enhanced CT images: diagnostic accuracy of identification of areas of presumed focal fatty sparing. AJR Am J Roentgenol. 2012; 199:44-7.

Hamer OW, Aguirre DA, Casola G, et al. Fatty liver: imaging patterns and pitfalls. Radiographics. 2006; 26(6):1637-53.

Fartoux L, Chazouillères O, Wendum D, et al. Impact of steatosis on progression of fibrosis in patients with mild hepatitis C. Hepatology. 2005; 41:82-7.

Brunt EM. Pathology of fatty liver disease. Mod Pathol. 2007; 20 Suppl 1:S40-8.