Conteúdo copiado com sucesso!

Estenose Hipertrófica do Piloro (Infantil)

Voltar
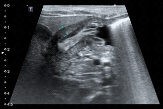
Texto alternativo para a imagem Figura 1. Créditos: Dra. Elazir Mota - Rio de Janeiro/RJ

Descrição da figura 1: Ultrassonografia do abdome - estudo destinado à avaliação do piloro, evidencia o canal pilórico alongado, medindo 20 mm (o comprimento normal do piloro é ≤ 12-16 mm) e a camada muscular hipertrofiada, com sua espessura de 4 mm (a espessura normal da camada muscular é ≤ 3 mm).

Texto alternativo para a imagem Figura 2. Créditos: Dra. Elazir Mota - Rio de Janeiro/RJ
Texto alternativo para a imagem Figura 3. Créditos: Dra. Elazir Mota - Rio de Janeiro/RJ

Descrição das figuras 2 e 3: Ultrassonografia do abdome de lactente com 27 dias de vida evidenciando muscular do piloro espessado (sua muscular media 4 mm) e o canal pilórico alongado. Observe a aparência em alvo do piloro no seu corte transversal, outro sinal clássico de EHP (seta vermelha).

Definição: A estenose hipertrófica do piloro (EHP)
trata-se de uma doença causada pela hipertrofia do músculo circular do piloro, resultando em estreitamento do canal pilórico e obstrução parcial a saída do conteúdo gástrico.

Epidemiologia: Incidência é de 3 em 1000 pacientes, com predileção pelo sexo masculino (5H:1M).

Quadro clínico: Ao redor de 2 a 6 semanas de vida, paciente inicia quadro de vômitos não biliosos que, frequentemente, evoluem para vômitos em jato, caso o diagnóstico não seja realizado precocemente. Durante a avaliação clínica, pode ser palpada a oliva pilórica na região epigástrica (achado não tão comum, presente somente em cerca de 13 a 54% dos casos).

Diagnóstico: Como exame de escolha deve ser realizada a ultrassonografia do abdome . O médico radiologista deve ter experiência com exames pediátricos e deve observar os seguintes achados: avaliar a espessura da muscular do piloro (espessura normal deve ser ≤ 3 mm) e a medida longitudinal do canal pilórico (seu comprimento normal varia de 12 a 16 mm).

A seriografia (exame contrastado com administração via oral do contraste baritado) foi utilizada durante muito tempo como exame padrão-ouro para a avaliação de estenose hipertrófica do piloro. Atualmente, teve seu uso bem reduzido devido a exposição excessiva à radiação ionizante a qual estes pacientes eram expostos.

Tratamento : Piloromiotomia.

Autoria principal: Elazir Mota (Radiologia, especialista em Radiologia Pediátrica).

Dias CS, Swinson S, Torrão H, Gonçalves L, et al. Hypertrophic pyloric stenosis: tips and tricks for ultrasound diagnosis. Insights Imaging. 2012; 3(3):247-250.

Hernanz-Schulman M, Zhu Y, Stein SM, et al. Hypertrophic pyloric stenosis in infants: US evaluation of vascularity of the pyloric canal. Radiology. 2003; 229(2):389-93.

Sargent SK, Foote SL, Mooney DP, Shorter NA. The posterior approach to pyloric sonography. Pediatr Radiol. 2000; 30:2567.

John SD, Swischuk LE. O trato gastrointestinal pediátrico. In: Rumack CM, Wilson SR, Charbo-neau JW, eds. Tratado de ultra-sonografia diagnós-tica. 2ª ed. Rio de Janeiro, RJ: Guanabara Koogan, 1999:146995.

Hallam D, Hansen B, Bodker B, Klintorp S, Pedersen JF. Pyloric size in normal infants and in infants suspected of having hypertrophic pyloric stenosis. Acta Radiol. 1995; 36:2614.