Conteúdo copiado com sucesso!

Fibroma Não Ossificante

Voltar
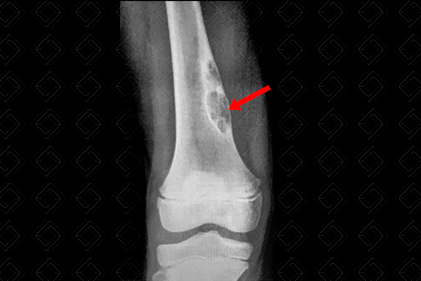
Texto alternativo para a imagem Créditos: Dra. Elazir Mota - Rio de Janeiro/RJ

Descrição da figura: Radiografia do joelho direito AP. Aparência radiográfica clássica de um fibroma não ossificante na metáfise femoral medial distal (seta vermelha).

Fibroma não ossificante: L esão óssea benigna, com predileção pelos ossos longos (preferencialmente, fêmur distal medial, tíbia, fêmur proximal e úmero proximal). Quando essas lesões são menores que 3 cm, recebem o nome de defeito cortical fibroso . [cms-watermark]

Epidemiologia: I ncidência de 30% em crianças e adolescentes, com acometimento duas vezes maior no sexo masculino. Idade de pico variando de 7 a 8 anos (essa lesão, em geral, surge antes do fechamento da placa fisária).

Quadro clínico: De modo geral, o fibroma é assintomático e descoberto acidentalmente.

    Achados de imagem:
  • Radiografia dos ossos longos: Lesão óssea lítica , em geral, na região metafisária periférica , com leve esclerose marginal. O eixo longitudinal do tumor é paralelo ao eixo longitudinal do osso. Não há sinais sugestivos de malignidade como ruptura da cortical óssea ou reações periosteais suspeitas (figura acima);
  • Ultrassonografia: O bserva-se defeito ósseo bem delimitado, preenchido por material hipoecoico. A ecogenicidade da lesão aumenta e seu tamanho diminui com o passar dos anos;
  • Ressonância magnética (RM) dos ossos longos: N ão é necessária para confirmar o diagnóstico. Geralmente, um achado incidental na RM. A lesão é isointensa ao músculo nas imagens em T1 e hiperintensa nas imagens ponderadas em T2. Tanto nas sequências T1 e T2 há um halo hipointenso de esclerose marginal. Há leve impregnação no estudo pós-contraste.

Autoria principal: Elazir Mota (Radiologia, especialista em Radiologia Pediátrica).

WHO. Soft Tissue and Bone Tumours: Who Classification of Tumours Editorial. 5th ed. WHO, [cms-watermark] 2020.

Goodin G, Shulkin B, Kaufman R, et al. PET/CT Characterization of Fibroosseous Defects in Children: 18F-FDG Uptake Can Mimic Metastatic Disease. AJR Am J Roentgenol. 2006; 187(4):1124-8.

Betsy M, Kupersmith L, Springfield D. Metaphyseal Fibrous Defects. J Am Acad Orthop Surg. 2004; 12(2):89-95.