Conteúdo copiado com sucesso!

Fibrose Cística

Voltar
Texto alternativo para a imagem

Texto alternativo para a imagem Créditos: Dra. Elazir Mota - Rio de Janeiro/RJ.


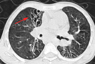
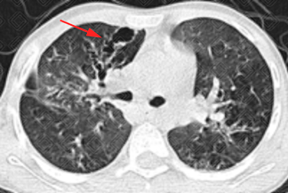
Descrição das imagens: Paciente infantil do sexo masculino, 11 anos, exame de acompanhamento de fibrose cística. Na tomografia computadorizada do tórax, observam-se extensas bronquiectasias varicosas bilaterais, mais evidentes à direita (setas vermelhas).

Fibrose cística: Também conhecida como mucoviscidose, é uma doença hereditária autossômica recessiva, multissistêmica, de curso progressivo e letal, caracterizada pela produção anormal de secreções de algumas glândulas exócrinas. Ocorre uma mutação no gene CFTR, que codifica uma proteína reguladora da condutância transmembrana de cloro, ocasionando uma impermeabilidade a este íon. Isso impede a reidratação do fluido luminal das glândulas e leva à formação de secreções extremamente viscosas.

Quadro clínico: A fibrose cística pode ser identificada através do teste do pezinho e diagnosticada através de exames genéticos. Algumas situações na infância devem levantar a suspeição clínica: íleo meconial, prolapso retal e infecções respiratórias recorrentes.

    Achados de imagem:
  • Radiografia de tórax: A radiografia pode ser normal ou mostrar achados inespecíficos, como aumento da trama broncovascular com predomínio nos lobos superiores, sinais de hiperinsuflação pulmonar e espessamento brônquico;
  • Tomografia computadorizada do tórax: A fibrose cística cursa principalmente com espessamento das paredes brônquicas e bronquiectasias. As bronquiectasias podem ser varicosas, cilíndricas ou císticas; geralmente são bilaterais e predominam nos lobos superiores. A impactação mucoide, o preenchimento das pequenas vias aéreas e as consolidações também são achados frequentemente encontrados.

Diagnósticos diferenciais: A spergilose broncopulmonar alérgica, discinesias ciliares primárias, imunodeficiências primárias e outras doenças que cursem com bronquiectasias.

Autoria principal: Elazir Mota (Radiologia, especialista em Radiologia Pediátrica).

Chinese Experts Cystic Fibrosis Consensus Committee; Chinese Alliance for Rare Lung Diseases; Chinese Alliance for Rare Diseases, Bronchiectasis-China. [Chinese experts consensus statement: diagnosis and treatment of cystic fibrosis (2023)]. Zhonghua Jie He He Hu Xi Za Zhi. 2023 12;46(4):352-372.

Monroe EJ, Pierce DB, Ingraham CR, et al. An Interventionalist's Guide to Hemoptysis in Cystic Fibrosis. Radiographics. 2018; 38(2):624-641.

Javidan-Nejad C, Bhalla S. Bronchiectasia. Radiol Clin North Am. 2009; 47(2):289-306;

O'Donnel AE. Bronchiectasia. Chest. 2008; 134:805-23.

Jiménez S, Jiménez JR, Crespo M, et al. Computed tomography in children with cystic fibrosis: a new way to reduce radiation dose. Arch Dis Child. 2006; 91(5):388-90.

Britto MCA, Bezerra PGM, Rego JC. Fibrose cística. Rev Pediatr. 2001; 5-8.