Conteúdo copiado com sucesso!

Fibrose Pulmonar Idiopática

Voltar
Texto alternativo para a imagem
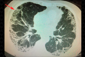
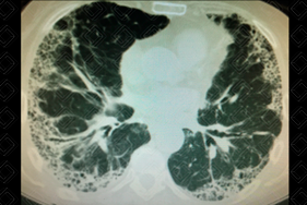
Texto alternativo para a imagem Figuras 1 e 2. Créditos: Dra. Elazir Mota - Rio de Janeiro/RJ

Descrição das figuras 1 e 2: Tomografia computadorizada do tórax, cortes axiais evidenciando opacidades reticulares, vidro fosco e cistos de faveolamento, com predileção periférica, em situação subpleural.

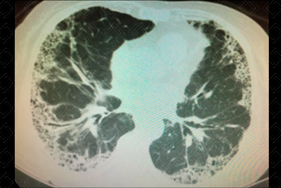
Texto alternativo para a imagem Figura 3. Créditos: Dra. Elazir Mota - Rio de Janeiro/RJ

Descrição da figura 3: Tomografia computadorizada do tórax, cortes axiais, evidenciando imagens císticas agrupadas, compartilhando paredes, sugestivas de cistos de faveolamento.

Fibrose pulmonar idiopática (FPI): É uma pneumopatia intersticial fibrosante crônica de curso variável, usualmente progressivo. Critérios diagnósticos definidos em diretrizes recentes incluem a exclusão de potenciais causas de pneumopatias intersticiais e a definição de padrão morfológico de pneumopatia intersticial usual (PIU) na tomografia computadorizada ou em combinações específicas de padrões na TC e biópsia cirúrgica.

Quadro clínico: O s sintomas típicos consistem em tosse seca e dispneia progressivo. O exame físico revela baqueteamento digital em 25-50% dos casos e estertores crepitantes inspiratórios tardios.

    Exames de imagem: O grande exame é a tomografia computadorizada do tórax.
  • Radiografia de tórax: O pacidades lineares bilaterais que formam padrão reticular são identificadas na maioria dos pacientes. O padrão reticular é inicialmente fino. Com a evolução da fibrose, o padrão reticular fica mais grosseiro. Há perda progressiva do volume pulmonar;
  • Tomografia computadorizada do tórax: C aracteriza-se como padrão típico para PIU a presença de opacidades reticulares de predomínio periférico e basal, associado a faveolamento, estando presentes ou não bronquiolectasias de tração (figura 1). Outras manifestações típicas do padrão de pneumonia intersticial usual na TC consistem em linhas intralobulares e espessamento irregular de septos interlobulares, resultando em padrão reticular, distorção arquitetural pulmonar, bronquiectasia, bronquiolectasia de tração e faveolamento.

O que seria faveolamento? Como é feito seu diagnóstico? Critérios para o diagnóstico de faveolamento devem ser aplicados e são definidos como: cistos entre 3-10 mm agrupados, compartilhando paredes e disposição dos cistos em camadas usualmente subpleurais (figura 2).

Diagnósticos diferenciais: O s principais são com pneumopatias intersticiais por exposição medicamentosa, exposições extrínsecas (pneumonite de hipersensibilidade), doenças ocupacionais (asbestose) e doenças do tecido conjuntivo (esclerodermia, Sjogren).

Autoria principal: Elazir Mota (Radiologia, especialista em Radiologia Pediátrica).

Hutchinson JP, Fogarty AW, McKeever TM, et al. In-Hospital Mortality after Surgical Lung Biopsy for Interstitial Lung Disease in the United States. 2000 to 2011. Am J Resp Crit Care Med. 2016; 193(10);1161-7.

Lee JW, Shehu E, Gjonbrataj J, et al. Clinical Findings and outcomes in patients with possible usual interstitial pneumonia. Respir Med. 2015; 109(4):510-6.

Raghu G, Lynch D, Godwin JD, et al. Diagnosis of idiopathic pulmonary fibrosis with high-resolution CT in patients with little or no radiological evidence of honeycombing: secondary analysis of a randomised, controlled trial. Lancet Respir Med. 2014; 2(4):277-84.

Wells A. The Revised ATS/ERS/JRS/ALAT Diagnostic Criteria for Idiopathic Pulmonary Fibrosis (IPF)--Practical Implications. Respir Res. 2013; 14 Suppl 1(S1):S2.

Mueller-Mang C, Grosse C, Schmid K, et al. What Every Radiologist Should Know About Idiopathic Interstitial Pneumonias. Radiographics. 2007; 27(3):595-615.