Conteúdo copiado com sucesso!

Filtro de Veia Cava

Voltar
Texto alternativo para a imagem
Texto alternativo para a imagem Créditos: Dra. Elazir Mota - Rio de Janeiro/RJ

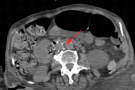
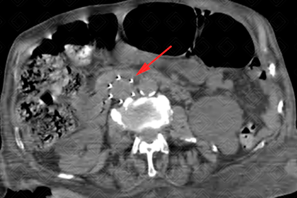
Descrição das imagens: Tomografia computadorizada do abdome. Filtro metálico na veia cava inferior, de localização infrarrenal (setas vermelhas).

Filtro de veia cava inferior: Dispositivo implantado por via endovascular localizado na veia cava inferior, em pacientes sob risco aumentado de embolia pulmonar.

Preferencialmente deve ser implantado na posição infrarrenal da veia cava inferior. Em geral, sua colocação é realizada por radiologista intervencionista com uso de fluoroscopia.

Complicações da implantação: s angramento, migração do filtro, trombose da veia cava, fratura do cateter e insuficiência venosa como as principais.

Autoria principal: Elazir Mota (Radiologia, especialista em Radiologia Pediátrica).

Gillespie DL, Spies JB, Siami FS, et al. Predicting the safety and effectiveness of inferior vena cava filters study: design of a unique safety and effectiveness study of inferior vena cava filters in clinical practice. J Vasc Surg. 2020; 8:187–94.

Smillie RP, Shetty M, Boyer AC, et al. Imaging evaluation of the inferior vena cava. Radiographics. 2015; 35(2):578-92.

Doe C, Ryu RK. Anatomic and Technical Considerations: Inferior Vena Cava Filter Placement. Semin Intervent Radiol. 2016; 33(2):88-92.

Kandarpa K, Machan L. Handbook of Interventional Radiologic Procedures. 4th ed. Philadelphia: Lippincott Williams & Wilkins, 2010.