Conteúdo copiado com sucesso!

Fratura Nasal

Voltar
Texto alternativo para a imagem


Texto alternativo para a imagem
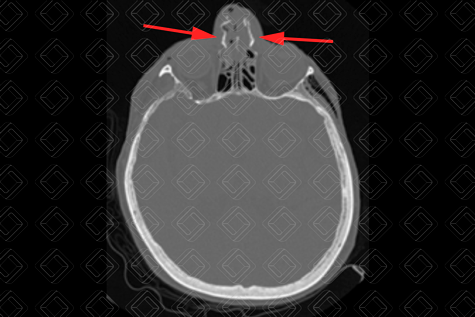
Texto alternativo para a imagem Créditos: Dra. Elazir Mota - Rio de Janeiro/RJ

Descrição das imagens: Tomografia computadorizada da face, cortes axial, coronal e reconstrução 3D. Múltiplas fraturas cominutivas e desalinhadas nos ossos nasais (setas vermelhas na primeira imagem) e septo nasal (seta vermelha na segunda imagem). Observa-se ainda o enfisema de partes moles decorrente do trauma (estrela).

Fratura nasal: O nariz é a projeção facial mais proeminente. Desse modo, o osso nasal é o local mais frequente de fraturas de face. Aproximadamente 80% das fraturas de face envolvem o nariz.

Quadro clínico : O diagnóstico de fratura nasal em geral é feito clinicamente, através da presença de edema local, crepitação, equimose, epistaxe, deformidade, desvio nasal. Nos casos mais graves, é através de hipertelorismo e telecanto.

    Exames de imagem:
  • Radiografia de crânio/face: Imagens radiográficas costumam ser solicitadas em boa parte dos casos, apresentando baixa sensibilidade no diagnóstico de fraturas de face;
  • Tomografia computadorizada (TC) de face: Tem melhor acurácia na detecção de fraturas, caracterizando bem a cominuição e deslocamentos ósseos, sendo o exame de escolha no contexto do trauma. A TC é útil para afastar complicações como envolvimento do septo nasal durante a avaliação por imagem. A identificação de espessamentos localizados, desvio da cartilagem e áreas de enfisema podem indicar a presença de hematoma septal (uma das complicações mais graves na fratura nasal).

Diagnóstico diferencial: A fratura nasal não deve ser confundida com a sutura nasomaxilar ou sulco nasociliar ou forame do osso nasal (reparos anatômicos importantes).

Autoria principal: Elazir Mota (Radiologia, especialista em Radiologia Pediátrica).

Allareddy V, Allareddy V, Nalliah RP. Epidemiology of Facial Fracture Injuries. J Oral Maxillofac Surg. 2011; 69:2613-2618.

Baugnon KL, Hudgins PA. Skull Base Fractures and their Complications. Neuroimaging Clin N Am. 2014; 24:439-465.

Han DS, Han YS, Park JH. A new approach to the treatment of nasal bone fracture: radiologic classification of nasal bone fractures and its clinical application. J. Oral Maxillofac. Surg. 2011; 69(11):2841-7.

Brant WE, Helms CA. Fundamentals of Diagnostic Radiology. 4th ed. Philadelphia: Lippincott Williams & Wilkins, 2012.

Alessandrino F, Keraliya A, Lebovic J, et al. Intimate Partner Violence: A Primer for Radiologists to Make the “Invisible” Visible. Radiographics. 2020; 40(7):2080-2097.