Conteúdo copiado com sucesso!

Hematoma Epidural

Voltar
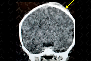
Texto alternativo para a imagem Figura 1. Créditos: Dra. Elazir Mota - Rio de Janeiro/RJ
Texto alternativo para a imagem Figura 2. Créditos: Dra. Elazir Mota - Rio de Janeiro/RJ

Descrição das figuras 1 e 2: Tomografia de crânio revela um hematoma epidural biconvexo clássico à direita (seta vermelha). Há também um hematoma subgaleal laminar à esquerda (seta amarela). Abaixo (figura 3), foi realizada a reconstrução tridimensional do mesmo paciente, em busca de fraturas.

Texto alternativo para a imagem Figura 3. Créditos: Dra. Elazir Mota - Rio de Janeiro/RJ

Descrição da figura 3: Tomografia computadorizada de crânio com reconstrução tridimensional (3D). Dois traços de fratura (asteriscos). As demais linhas alargadas representam as suturas cranianas ainda abertas (comum nos recém-nascidos): sutura sagital (seta preta) e suturas lambdoides (setas vermelhas).

Hematoma epidural: Caracteriza-se pela presença de sangue entre o crânio e a dura-máter. 90-95% dos casos têm origem arterial, apresentam fraturas de crânio associadas e são unilaterais.

Em geral, a causa mais comum do hematoma epidural é o trauma, no qual há laceração dos vasos pela fratura. O hematoma epidural de origem arterial é mais frequentemente encontrado próximo ao sulco fraturado da artéria meníngea média. Causas não traumáticas são mais raras e destacam-se: coagulopatia, trombólise, malformação vascular e outras.

Quadro clínico: Questões clínicas importantes estão relacionadas ao “intervalo lúcido” clássico (cerca de 50% dos pacientes) e ocorrem devido à rápida expansão do hematoma. Essa deterioração clínica pode estar associada a vômitos, cefaleia, sonolência, crises convulsivas e hemiparesia.

    Exames de imagem:
  • Tomografia computadorizada do crânio (figuras 1, 2 e 3): Exam e de escolha no cenário de emergência por tratar-se de exame rápido e amplamente disponível. Co leção hiperdensa extra-axial e biconvexa . Deve-se procurar sempre por ar no interior do hematoma, que é um sinal de fratura associada do seio paranasal e mastoide, ou pelo sinal do redemoinho, uma heterogeneidade no interior do hematoma que sugere sangramento ativo. Sempre buscar por fraturas nas reconstruções tridimensionais (3D) e na janela óssea;
  • Ressonância magnética do crânio: Na sua fase aguda, o hematoma epidural apresenta isossinal em T1. Já na fase subaguda/crônica, apresenta sinal hiperintenso em T1. Nas sequências pesadas em T2, o sinal na fase aguda é variável, na fase subaguda precoce será hipointenso e na fase subaguda tardia/crônica precoce será hiperintenso. Angioressonância venosa deve ser solicitada quando há suspeita de compressão dos seios venosos pelo hematoma, impedindo seu fluxo adequado.

Diagnóstico diferencial: O principal será hematoma subdural (o hematoma subdural caracteriza-se por imagem em crescente e pode cruzar as suturas). Outros diagnósticos diferenciais são as neoplasias (principalmente, meningioma) e processos infecciosos.

Autoria principal: Elazir Mota (Radiologia, especialista em Radiologia Pediátrica).

Gunda D, Cornwell BO, Dahmoush HM, et al. Pediatric Central Nervous System Imaging of Nonaccidental Trauma: Beyond Subdural Hematomas. RadioGraphics. 2019; 39(1):213-228.

De Souza M, Moncure M, Lansford T, et al. Nonoperative management of epidural hematomas and subdural hematomas: is it safe in lesions measuring one centimeter or less? J Traum. 2007; 63(2):370-2.

Caricato A, Mignani V, Bocci MG, et al. Usefulness of transcranial echography in patients with decompressive craniectomy: a comparison with computed tomography scan. Crit Care Med. 2012; 40(6):1745-52.

Gean A, Fischbein N, Purcell D, et al. Benign Anterior Temporal Epidural Hematoma: Indolent Lesion with a Characteristic CT Imaging Appearance After Blunt Head Trauma. Radiology. 2010; 257(1):212-8.

Shen J, Pan JW, Fan ZX, et al. Surgery for contralateral acute epidural hematoma following acute subdural hematoma evacuation: five new cases and a short literature review. Acta Neurochir (Wien) 2013; 155(2):335-41.