Conteúdo copiado com sucesso!

Hematoma Subgaleal

Voltar
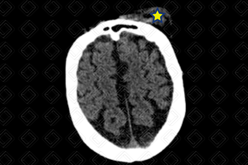
Texto alternativo para a imagem Figura 1. Créditos: Dra. Elazir Mota - Rio de Janeiro/RJ
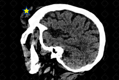
Texto alternativo para a imagem Figura 2. Créditos: Dra. Elazir Mota - Rio de Janeiro/RJ
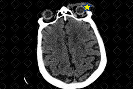
Texto alternativo para a imagem Figura 3. Créditos: Dra. Elazir Mota - Rio de Janeiro/RJ

Descrição da lesão: Tomografia computadorizada de crânio. A umento das partes moles extracranianas na região frontal e periorbitária esquerdas (asteriscos), caracterizando hematoma subgaleal. Não há extensão intracraniana ou sinais de fratura.

Hematoma subgaleal: A umento extracraniano das partes moles, sem extensão intracraniana. Em geral, ocorre por ruptura de veias emissárias que drenam o couro cabeludo, com acúmulo de sangue entre periósteo superficial e aponeurose do músculo do couro cabeludo.

Quadro clínico : Na maioria dos casos, há relato de traumatismo craniano (por acidentes, quedas, tocotraumatismo, maus tratos e outros) e paciente apresenta-se com aumento de volume na região, doloroso ou não.

    Exames de imagem:
  • Radiografia do crânio: Evidencia aumento das partes moles na calota craniana;
  • Tomografia computadorizada do crânio : Diante de história de trauma, deve ser o exame solicitado para esclarecimento e avaliação da calota craniana, com objetivo de afastar fraturas ou hematomas subdurais/epidurais;
  • Ressonância magnética do crânio: N ão é o exame de escolha nesta situação.

Diagnósticos diferenciais: N os recém-nascidos os principais são com a bossa serossanguinolenta e cefalohematoma.

Autoria principal: Elazir Mota (Radiologia, especialista em Radiologia Pediátrica).

Davis DJ. Neonatal subgaleal hemorrhage: diagnosis and management. CMAJ. 2001; 164(10):1452-3.

Shukla D, Devi BI. Mild traumatic brain injuries in adults. J Neurosci Rural Pract. 2010; 1(2):82-8.

Thurman D. Head Trauma: Basic, Preclinical, and Clinical Directions. In: Miller L, Ayes R. Head Trauma: Basic, Preclinical, and Clinical Directions. New York: John Wiley and Sons, 2001. 327-47.

Carroll LJ, Cassidy JD, Holm L, et al. WHO Collaborating Centre Task Force on Mild Traumatic Brain Injury. Methodological issues and research recommendations for mild traumatic brain injury: The WHO Collaborating Centre Task Force on Mild Traumatic Brain Injury. J Rehabil Med. 2004; 43:113-25.

Ibanez J, Fuat A, Pedraza S, et al. Reliability of clinical guidelines in the detection of patients at risk following mild head injury: Results of a prospective study. J Neurousrg. 2004; 100:825-34.