Conteúdo copiado com sucesso!

Hemitórax Opaco

Voltar
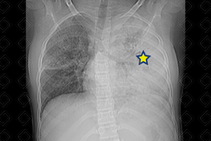
Texto alternativo para a imagem Figura 1. Créditos: Dra. Elazir Mota - Rio de Janeiro/RJ

Descrição da figura 1: Caso 1: Radiografia de tórax PA. Hemitórax opaco esquerdo com volume torácico mantido (asterisco) - semelhante dos dois lados. Observe a traqueia centralizada.

Texto alternativo para a imagem Figura 2. Créditos: Dra. Elazir Mota - Rio de Janeiro/RJ

Descrição da figura 2: Caso 1: Tomografia computadorizada do tórax foi realizada para melhor avaliação, evidenciando a presença de extensa consolidação esquerda que justifica o hemitórax opaco de volume mantido deste lado (asterisco).

Texto alternativo para a imagem Figura 3. Créditos: Dra. Elazir Mota - Rio de Janeiro/RJ

Descrição da figura 3: Caso 2: Radiografia de tórax AP, evidenciando hemitórax opaco à esquerda (asterisco). Ao olhar com atenção a radiografia, observa-se que o hemitórax acometido tem volume aumentado em comparação ao contralateral, com discreto desvio da traqueia para a direita (seta vermelha). Estamos diante de um hemitórax opaco com aumento volumétrico do lado acometido. O passo seguinte foi solicitar uma ultrassonografia de tórax (figuras 4 e 5).

Texto alternativo para a imagem Figura 4. Créditos: Dra. Elazir Mota - Rio de Janeiro/RJ
Texto alternativo para a imagem Figura 5. Créditos: Dra. Elazir Mota - Rio de Janeiro/RJ

Descrição das figuras 4 e 5: Caso 2: Ultrassonografia de tórax evidencia um volumoso derrame pleural esquerdo com atelectasia compressiva do parênquima pulmonar desse lado.

Hemitórax opaco: Trata-se de um achado de imagem encontrado na radiografia de tórax. Ocorre quando há velamento completo de um hemitórax e costuma ser habitualmente encontrado nas emergências. Sua interpretação é relativamente simples, porém a maioria dos médicos não sabe fazê-la adequadamente.

Sua caracterização depende basicamente da avaliação do volume pulmonar no lado acometido e, para isso, deve-se sempre observar a posição do mediastino (traqueia).

    Volume do hemitórax acometido:
  • Reduzido: Mediastino desviado para o lado da lesão. Causas principais: congênitas (agenesia pulmonar), pós-cirúrgica (pneumectomia) e extensa atelectasia pulmonar;
  • Mantido: Mediastino em sua posição normal. Suas principais causas variam de acordo com a faixa etária. Em crianças, a grande causa é uma pneumonia extensa, ocupando todo o parênquima pulmonar. Em adultos, a causa mais importante é o carcinoma broncogênico, quando há associação de derrame pleural e atelectasia pulmonar (caso 1);
  • Aumentado: Mediastino encontra-se desviado contralateralmente à lesão. Causas principais: volumoso derrame pleural (principal) e massas torácicas (caso 2).

Autoria principal: Elazir Mota (Radiologia, especialista em Radiologia Pediátrica).

Kolluri S, Mangal RK, Stead TS, et al. Hemithorax white-out due to massive pleural effusion. Int J Emerg Med. 2023; 16(1):4.

Corne J, Carroll M, Delany D, et al. Chest x-ray made easy. 2nd ed. London: Churchill Livingstone, 2002.

Khan AN, Al-jahdali H, Al-ghanem S, et-al. Reading chest radiographs in the critically ill (Part II): Radiography of lung pathologies common in the ICU patient. Ann Thorac Med. 2009; 4(3):149-57.

Goodwin SJ, Randle E, Iguchi A, et al. Chest computed tomography in children undergoing extra-corporeal membrane oxygenation: a 9-year single-centre experience. Pediatr Radiol. 2014; 44(6):750-60.

Fraser RS, Müller NL, Colman NC, et al. Diagnosis of Diseases of the Chest. 4th ed. Philadelphia: WB Saunders Company, 1999.