Conteúdo copiado com sucesso!

Hemorragia Intraparenquimatosa

Voltar
Texto alternativo para a imagem
Texto alternativo para a imagem
Texto alternativo para a imagem
Texto alternativo para a imagem Créditos: Dra. Elazir Mota - Rio de Janeiro/RJ

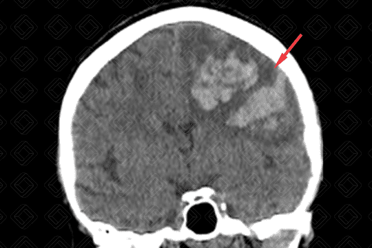
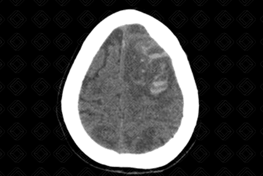
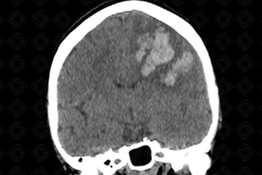
Descrição das imagens: Paciente masculino, 68 anos, com hemorragia intracraniana causada por rotura de um aneurisma da artéria cerebral média esquerda. Observa-se a presença de áreas espontaneamente densas (sangue), intraparenquimatosas, no lobo frontal e parietal esquerdos (setas vermelhas), causando discreto desvio da linha média contralateralmente. Nota-se ainda hipodensidade periférica devendo representar edema.

Hemorragia intraparenquimatosa: S eu prognóstico depende do tipo de sangramento e da sua extensão.

Quadro clínico : Bastante variável. Cefaleia, vômitos, PAS > 220 mmHg, déficit neurológico focal e rebaixamento do nível de consciência.

    Exames de imagem:
  • Tomografia computadorizada do crânio: Deve ser feita avaliando sua densidade, seu volume, sua localização e sua relação com as estruturas circunjacentes. Lembrar que a densidade compatível com sangue na tomografia computadorizada encontra-se em torno de 50 a 70 UH. Permite ainda avaliar se há efeito compressivo ou desvio de linha média, por exemplo. A aparência da hemorragia intracraniana não complicada na tomografia computadorizada é relativamente direta e de fácil percepção (Figura 1);
  • Ressonância magnética do crânio : As alterações de sinal na RM dependem da fase de sangramento.

Diagnósticos diferenciais: O principal diagnóstico diferencial são com tumores que possam acarretar em sangramento do SNC.

Autoria principal: Elazir Mota (Radiologia, especialista em Radiologia Pediátrica).

Morotti A, Arba F, Boulouis G, et al. Noncontrast CT Markers of Intracerebral Hemorrhage Expansion and Poor Outcome. Neurology. 2020; 95(14):632-4.

Ovesen C, Havsteen I, Rosenbaum S, et al. Prediction and Observation of Post-Admission Hematoma Expansion in Patients with Intracerebral Hemorrhage. Front Neurol. 2014; 5:186.

Walenga JM, Marmon JF. Coagulopathies associated with intracranial homorrhage. Neuroimaging Clin N Amer. 1992; 2:137-152.

Sacco RL, Kasner SE, Broderick JP, et al. An updated definition of stroke for the 21st century: a statement for healthcare professionals from the American Heart Association/American Stroke Association. Stroke. 2013; 44(7):2064-89.

Cohen WA, Wayman LA. Computed tomography of intracranial hemmorhage. Seuro imaging Clinics N Amer. 1992; 2:75-87.