Conteúdo copiado com sucesso!

Hemorragia Subaracnoide

Voltar
Texto alternativo para a imagem
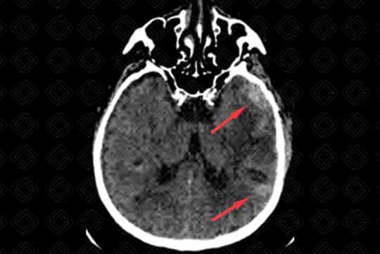
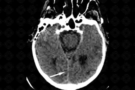
Texto alternativo para a imagem Figuras 1 e 2. Créditos: Dra. Elazir Mota - Rio de Janeiro/RJ

Descrição da lesão (figuras 1 e 2): Tomografia computadorizada de crânio sem contraste venoso. Áreas de hemorragia subracnoide córtico-subcorticais nas regiões temporal esquerda e temporo-parietal direita (setas vermelhas). Há ainda moderada hiperdensidade do seio reto e tentório cerebelar, sugerindo sangramento (setas brancas).

Hemorragia subaracnoide (HSA): Caracteriza-se pela presença de sangramento no espaço subaracnoide e suas principais causas são o aneurisma sacular congênito (local mais comum: comunicante anterior) e malformação arteriovenosa.

Quadro clínico: T hunderclap headache = "cefaleia em trovão" = pior cefaleia da vida + síncope em 50% dos casos. Surgimento de rigidez de nuca após 12-24 horas. No fundo de olho observa-se hemorragia sub-hialoide.

    Exames de imagem:
  • Tomografia computadorizada do crânio: E xame de escolha na suspeita de HSA: confirma ou descarta a presença de sangue no espaço subaracnoide. Na maioria dos casos, observa-se material espontaneamente denso na região do polígono de Willis (principal local de acometimento) e na fissura sylviana. A HSA é classificada em 4 graus (escala de Fisher) pela sua aparência e extensão na tomografia sem contraste;
  • Ressonância magnética do crânio: N ão é o exame de escolha na suspeita de HSA, por ser mais demorado e mais dependente da cooperação do paciente para sua realização.

Diagnósticos diferenciais: Neurotoxicidade induzida por contraste, necrose cortical laminar, meningite bacteriana, meningite tuberculosa e neurossarcoidose

Autoria principal: Elazir Mota (Radiologia, especialista em Radiologia Pediátrica).

Oppenheim C, Domigo V, Gauvrit JY, et al. Subarachnoid hemorrhage as the initial presentation of dural sinus thrombosis. AJNR Am J Neuroradiol. 2005; 26(3): 614-7.

Van gijn J, Rinkel GJ. Subarachnoid haemorrhage: diagnosis, causes and management. Brain. 2001; 124(Pt):249-78.

Sohn CH, Baik SK, Lee HJ, et al. MR imaging of hyperacute subarachnoid and intraventricular hemorrhage at 3T: a preliminary report of gradient echo T2*-weighted sequences. AJNR Am J Neuroradiol. 2005; 26(3):662-5.

Brant WE, Helms CA. Fundamentals of Diagnostic Radiology. 4th ed. Philaldelphia: Lippincott Williams & Wilkins, 2012.

Marder CP, Narla V, Fink JR, et al. Subarachnoid hemorrhage: beyond aneurysms. AJR Am J Roentgenol. 2014; 202(1):25-37