Conteúdo copiado com sucesso!

Hemorragia de Matriz Germinativa (Infantil)

Voltar
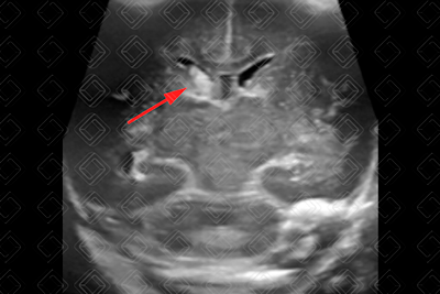
Texto alternativo para a imagem Figura 1. Créditos: Dra. Elazir Mota - Rio de Janeiro/RJ
Texto alternativo para a imagem Figura 2. Créditos: Dra. Elazir Mota - Rio de Janeiro/RJ

Descrição das figuras 1 e 2: Ultrassonografia transfontanela; imagens coronal e parassagitais direita e esquerda evidenciando áreas triangulares hiperecogênicas (setas vermelhas) na topografia dos sulcos caudotalâmicos bilateralmente, compatível com hemorragia de matriz germinativa grau I bilateral.

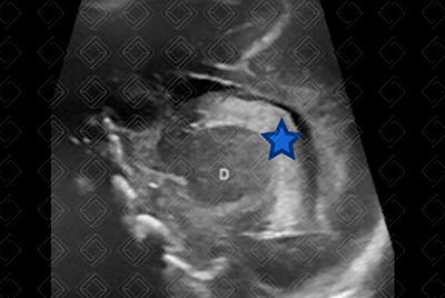
Texto alternativo para a imagem Figura 3. Créditos: Dra. Elazir Mota - Rio de Janeiro/RJ
Texto alternativo para a imagem Figura 4. Créditos: Dra. Elazir Mota - Rio de Janeiro/RJ
Texto alternativo para a imagem Figura 5. Créditos: Dra. Elazir Mota - Rio de Janeiro/RJ

Descrição das figuras 3, 4 e 5: Ultrassonografia transfontanela; imagens coronais e parassagital direita. Área ecogênica visualizada no interior do corno frontal do ventrículo lateral direito (seta vermelha), estendendo-se no corte parassagital direito no interior do ventrículo lateral deste lado (estrela), deixando o plexo coroide (PC) deste lado mais “gordinho” e irregular em comparação ao esquerdo (seta amarela), compatível com hemorragia de matriz germinal grau II à direita. Nesse caso, não há dilatação do sistema ventricular.

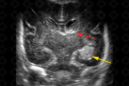
Texto alternativo para a imagem Figura 6. Créditos: Dra. Elazir Mota - Rio de Janeiro/RJ

Descrição da figura 6: Ultrassonografia transfontanela; imagem coronal. Presença de foco ecogênico junto do caudado esquerdo (seta vermelha). Após um olhar mais apurado, é possível ver área ecogênica intraparenquimatosa na região temporal esquerda (seta amarela). Independente dos outros achados, a presença de hemorragia intraparenquimatosa já caracteriza a hemorragia de matriz germinal como grau IV.

Hemorragia de matriz germinal (HIC): É frequentemente encontrada em recém-nascidos prematuros ( < 34 semanas) e naqueles com peso < 1500 g.

A matriz germinal reveste a parede lateral dos ventrículos e aumenta de volume até a 26 a semana de gestação. Ela começa a regredir a partir da 27ª semana, com seu total desaparecimento por volta da 33-34ª semana de gestação. Desse modo, não é um achado de imagem que deve ser esperado no recém-nascido a termo.

A hemorragia de matriz germinal mais comumente inicia-se no sulco caudotalâmico, podendo estender-se para o interior dos ventrículos laterais, até mesmo para o parênquima cerebral.

Exame de imagem: A ultrassonografia transfontanela é o exame de escolha na avaliação de hemorragia de matriz germinal. Trata-se de exame rápido, de baixo custo, amplamente disponível e sem radiação ionizante. Como desvantagem, é operador dependente e, nesses casos, deve ser realizado por radiologista pediátrico com bom treinamento.

A ressonância magnética não deve ser realizada inicialmente para rastreio de hemorragia de matriz germinal, pois é um exame de alto custo, necessita de sedação e não se encontra disponível na maioria dos hospitais pediátricos.

Tomografia computadorizada não deve ser solicitada para este tipo de pesquisa, pois não visualiza pequenas hemorragias, especialmente as de baixo grau, conforme será descrito abaixo.

    Classificação das hemorragias de matriz germinal (Papile):
  • Grau I: Hemorragia presente somente no sulco caudotalâmico (figuras 1 e 2);
  • Grau II: H emorragia estendendo-se para o sistema ventricular, notadamente o plexo coroide, sem causar dilatação do sistema ventricular (figuras 3, 4 e 5);
  • Grau III: Extensão e dilatação do sistema ventricular ;
  • Grau IV: Grau I, II ou III com extensão para o parênquima cerebral (figura 6).

Autoria principal: Elazir Mota (Radiologia, especialista em Radiologia Pediátrica).

Barkovich AJ. Pediatric neuroimaging. 4th ed. Philadelphia: Lippincott Williams & Wilkins, 2005.

Rijn AMR, Groenendaal F, Beek FJA, et al. Parenchymal Brain Injury in the Preterm Infant: Comparison of Cranial Ultrasound, MRI and Neurodevelopmental Outcom. Neuropediatrics. 2001; 32(2):80-9.

Siegel MJ. Pediatric sonography. 4th ed. Philadelphia: Lippincott Williams & Wilkins, 2011.

Levene MI. Measurement of the growth of the lateral ventricles in preterm infants with real-time ultrasound. Arch Dis Child. 1981; 56(12):900-4.