Conteúdo copiado com sucesso!

Hidrocefalia Obstrutiva (Infantil)

Voltar
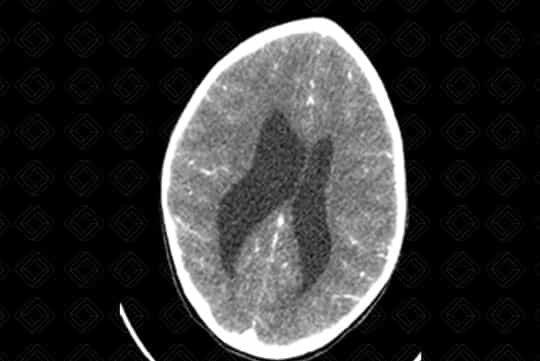
Texto alternativo para a imagem Figura 1. Créditos: Dra. Elazir Mota - Rio de Janeiro/RJ
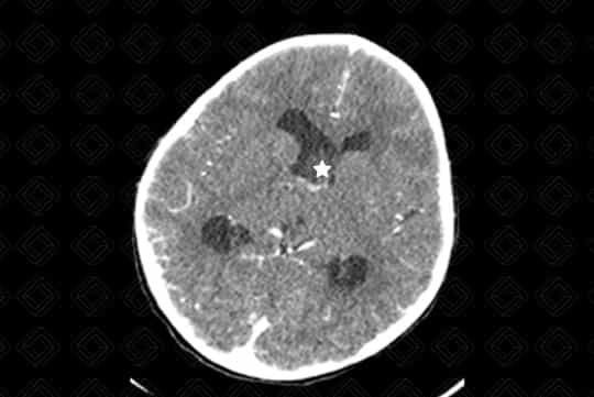
Texto alternativo para a imagem Figura 2. Créditos: Dra. Elazir Mota - Rio de Janeiro/RJ
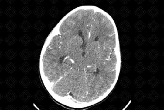
Texto alternativo para a imagem Figura 3. Créditos: Dra. Elazir Mota - Rio de Janeiro/RJ
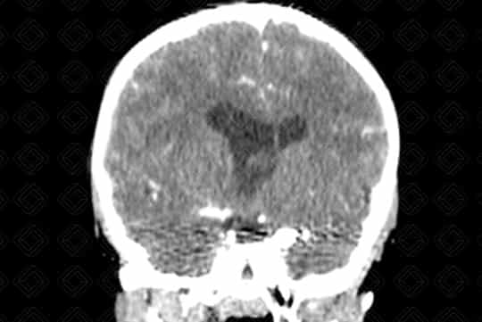
Texto alternativo para a imagem Figura 4. Créditos: Dra. Elazir Mota - Rio de Janeiro/RJ
Texto alternativo para a imagem Figura 5. Créditos: Dra. Elazir Mota - Rio de Janeiro/RJ

Descrição das figuras 1, 2, 3, 4 e 5: Tomografia computadorizada do crânio após administração do contraste venoso nas reformatações axial e coronal. Paciente de 4 anos com lesão discretamente captante de contraste (asterisco - figura 2) no corno anterior do ventrículo lateral direito, causando obstrução do forame de Monro e hidrocefalia secundária, de etiologia obstrutiva. [cms-watermark]

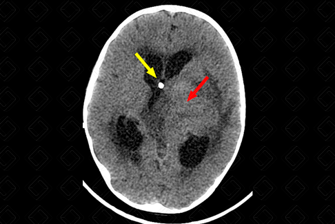
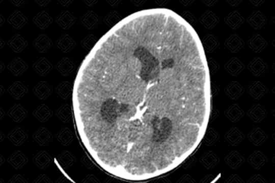
Texto alternativo para a imagem Figura 6. Créditos: Athena Hub/Medical Harbour

Descrição da figura 6: Tomografia computadorizada do crânio, plano axial evidenciando ventrículos laterais dilatados, por lesão expansiva que comprime o ventrículo lateral esquerdo e o forame de Monro (seta vermelha). Há ainda transudação liquórica pela hidrocefalia e observa-se ponta do cateter de derivação ventriculoperitoneal (seta amarela). [cms-watermark]

Hidrocefalia obstrutiva na infância: Dilatação obstrutiva do sistema ventricular. [cms-watermark]

    Pode ser dividida didaticamente:
  • Hidrocefalia obstrutiva intraventricular: Trata-se de uma obstrução intraventricular do fluxo liquórico; enquanto a produção de liquor continua normal, com aumento da pressão de fluido ventricular. Sua etiologia na infância depende da localização do acometimento: forame de Monro, terceiro ventrículo, quarto ventrículo, aqueduto de Sylvius e quarto ventrículo;
  • Hidrocefalia obstrutiva extraventricular: Aqui os ventrículos encontram-se alargados devido ao desequilíbrio entre a formação de liquor e sua absorção.

Autor(a) principal: Elazir Mota (Radiologia, especialista em Radiologia Pediátrica).

McAllister JP. Pathophysiology of congenital and neonatal hydrocephalus. Semin Fetal Neonatal Med. 2012; 17(5):285-94.

Greitz D. Radiological assesment of hydrocephalus: new theories and implications for therapy. Neurosurg Rev. 2004; 27(3):145-65; discussion 166-7:

Dinçer A, et al. Radiologic evaluation od pediatric hydrocephalus. Childs Nerv Syst. 2011; 27(10):1543-62.