Conteúdo copiado com sucesso!

Hiperinsuflação Pulmonar Congênita (Infantil)

Voltar
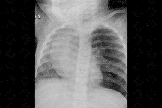
Texto alternativo para a imagem Créditos: Dra. Elazir Mota - Rio de Janeiro/RJ

Descrição da imagem: Radiografia de tórax AP. Hipertransparência no lobo superior do pulmão esquerdo, com desvio do mediastino contralateralmente. Silhueta cardiotímica com dimensões normais.

A hiperinsuflação lobar congênita , c onhecida também por enfisema lobar congênito (nomenclatura antiga), ocorre por uma anomalia na cartilagem brônquica, levando à progressiva hiperinsuflação do segmento ou lobo pulmonar acometido. A localização mais comum é o lobo superior esquerdo.

Quadro clínico : A maioria dos pacientes apresenta-se nos primeiros dias ou semanas de vida com desconforto respiratório.

    Exames de imagem:
  • Radiografia do tórax: Inicialmente (principalmente no primeiro e segundo dias de vida), a radiografia de tórax pode estar com uma hipotransparência difusa, por acúmulo do líquido que ainda não foi totalmente absorvido. Para melhor avaliação desta malformação, o exame deve ser feito após as primeiras 48 horas quando observa-se uma hipertransparência, com principal local de acometimento no lobo superior esquerdo (seguido em frequência pelos lobo médio e superior direito);
  • Tomografia computadorizada do tórax: Q uando existe essa suspeita clínica e radiológica, idealmente o estudo deve ser complementado com tomografia da região.

Diagnósticos diferenciais: Outras malformações pulmonares congênitas, como malformação congênita das vias aéreas (CIPAM), atresia brônquica e outras. O corpo estranho pode ocasionar esta hiperinsuflação pulmonar focal, no entanto, a faixa etária de acometimento é bastante distinta.

Autoria principal: Elazir Mota (Radiologia, especialista em Radiologia Pediátrica).

Wilmott RW, Li A, Sly P, et al. Kendig's Disorders of the Respiratory Tract in Children. 9th ed. Philadelphia: Elsevier, 2019.

Lee EY, Boiselle PM, Cleveland RH. Multidetector CT evaluation of congenital lung anomalies. Radiology. 2008; 247(3):632- 48.

Lee YE, Dorkin H, Vargas OS. Congenital Pulmonar Malformations in Pediatric Patients: Review and Uptodate on Etiology, Classification, and Imaging Findings. Radiol Clin N Arm. 2011; 49:921-948.

Wilmott RW, Bush A, Deterding RR, et al. Kendig & Chernick's Disorders of the Respiratory Tract in Children. 8th ed. Philadelphia: Elsevier, 2012.

Langston C. New Concepts in the pathology of congenital lung malformations. Semin in Pediatr Surg. 2003; 12(1):17-37.