Conteúdo copiado com sucesso!

Infecções Congênitas - TORCHs (Infantil)

Voltar
Texto alternativo para a imagem
Texto alternativo para a imagem
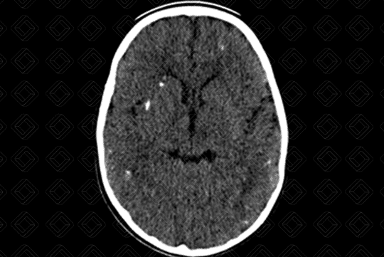
Texto alternativo para a imagem Créditos: Dra. Elazir Mota - Rio de Janeiro/RJ


Texto alternativo para a imagem Ultrassonografia transfontanela em RN exposto à toxoplasmose no período intra-útero (primeiro trimestre da gestação) evidenciando lesões hiperecogênicas, compatíveis com calcificação (setas brancas). Créditos: Dra. Elazir Mota - Rio de Janeiro/RJ


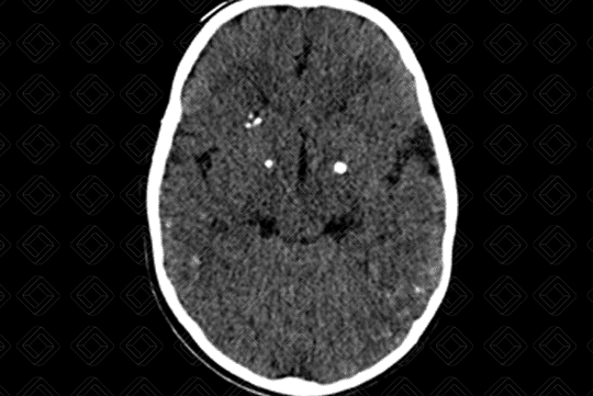
Texto alternativo para a imagem Créditos: Dra. Elazir Mota - Rio de Janeiro/RJ
    Infecções congênitas (TORCHs): A s causas mais comuns de infecções congênitas no período pré natal são: citomegalovírus, toxoplasmose, vírus herpes tipo 2, rubéola e, mais recentemente, zika vírus.

Quadro clínico: Depende da idade do feto no momento da infecção. Infecções precoces, durante os dois primeiros semestres, podem afetar a organogênese, resultando em lisencefalia, hidranencefalia, enquanto infecções mais tardias, afeta, a migração celular. Os achados clínicos são microcefalia, microftalmia, cataratas, coriorretinite, hipotonia e convulsões.

    Achados de imagem:
  • Citomegalovírus: Dentre as infecções congênitas, é considerada a mais prevalente (ocorre em 0,5 a 2,5 % dos nascimentos). Após o nascimento cerca de 90% dos bebês são assintomáticos. Quando existem sinais e sintomas, eles costumam ser inespecíficos e incluem: febre e linfonodomegalia generalizada.
    • Achados de imagem abdominais: No bebê, o primeiro exame a ser solicitado sempre será a ultrassonografia de abdome. Hepatoesplenomegalia, calcificações hepáticas, ascite e cardiomegalia podem estar presentes;
    • Achados de imagem neurológicos: O rastreio inicia-se com ultrassonografia transfontanelar. Diante da gravidade das lesões e para avaliar a extensão das calcificações, pode ser realizada adicionalmente, tomografia computadorizada do crânio e até mesmo, ressonância magnética . Calcificações puntiformes periventriculares (subependimárias) são características, microcefalia (depende do momento da infecção fetal - as que ocorrem no período gestacional mais precoce são mais graves), distúrbios de migração neuronal e hipoplasia cerebelar.
    Achados de imagem:
  • Toxoplasmose: A maioria dos recém-nascidos também são assintomáticos. No entanto, quando presentes, os sintomas podem ser graves, como perda visual (coriorretinite), crises convulsivas e hidrocefalia.
    • Achados de imagem oftalmológicos: Catarata, microftalmia;
    • Achados de imagem abdominais: No bebê, o primeiro exame a ser solicitado sempre será a ultrassonografia de abdome. Hepatoesplenomegalia e ascite podem ser observados;
    • Achados de imagem neurológicos: O rastreio inicia-se com ultrassonografia transfontanelar . Diante da gravidade das lesões e para avaliar a extensão das calcificações, pode ser realizada adicionalmente, tomografia computadorizada do crânio e até mesmo, ressonância magnética . Microcefalia e distúrbios de migração neuronal são achados pouco comuns. As calcificações costumam ser mais grosseiras e aleatórias no parênquima encefálico. Das infecções congênitas é a que mais comumente cursa com hidrocefalia (casos mais graves), disgenesia do corpo caloso e envolvimento cerebelar (figura).

Autoria principal: Elazir Mota (Radiologia, especialista em Radiologia Pediátrica).

Griffiths PD, Emery VC, Milne R. Cytomegalovirus. In: Richman DD, Whitley RJ, Hayden FG. Clinical virology. 3rd ed. Washington: ASM Press, 2009.

Barkovich AJ, Moore KR, Jones BV et al. Diagnostic imaging: pediatric neuroradiology. Salt Lake City: AMIRSYS, 2007.

Ribeiro BG, Werner H, Lopes FPPL, et al. Central Nervous System Effects of Intrauterine Zika Virus Infection: A Pictorial Review. RadioGraphics. 2017; 37:1840-1850.

Enfissi A, Codrington J, Roosblad J, et al. Zika virus genome from the Americas. Lancet. 2016; 387(10015):227–228.

De Carvalho NS, De Carvalho BF, Fugaça CA, et al. Zika virus infection during pregnancy and microcephaly occurrence: a review of literature and Brazilian data. Braz J Infect Dis. 2016; 20(3):282–289.