Conteúdo copiado com sucesso!

Instabilidade Atlantoaxial na Radiografia Cervical Infantil

Voltar
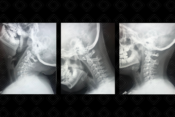
Texto alternativo para a imagem Figura 1. Créditos: Dra. Elazir Mota - Rio de Janeiro/RJ

Descrição da figura 1: As três posições na qual a radiografia de coluna cervical deve ser realizada: extensão, flexão e neutra.

Texto alternativo para a imagem Figura 2. Créditos: Dra. Elazir Mota - Rio de Janeiro/RJ

Descrição da figura 2: Localizada da coluna cervical para mostrar o local onde deve ser medida em cada posição, a distância entre a face posterior do arco anterior do atlas (C1) e a face anterior do processo odontoide de C2 (o valor considerada normal é menor ou igual a 4 mm) – marcação em vermelho da distância.

Instabilidade atlantoaxial (IAA): R epresenta uma maior mobilidade da primeira (atlas) sobre a segunda vértebra cervical (áxis), podendo ocorrer em diversas situações clínicas, sendo uma das principais a síndrome de Down.

Quadro clínico: Na maioria dos casos, a IAA é assintomática. Apenas 1-2% dos pacientes irão apresentar sinais e sintomas neurológicos, podendo evoluir para hemiplegia, paraplegia ou tetraplegia por compressão medular. Por isso, pacientes com instabilidade atlantoaxial confirmada precisam de cuidado com atividades físicas que coloquem em risco a região cervical. Qualquer alteração neurológica impede a realização de atividades como futebol, pentatlo, mergulho, ginástica, alguns estilos de natação e outros que coloquem em risco a região cervical.

Essas vértebras cervicais diferem entre si e das demais quanto a sua anatomia e processo de ossificação. O atlas é formado por um arco anterior e um arco posterior, e não possui corpo vertebral. O áxis possui um arco posterior e um pequeno corpo com uma projeção óssea denominado odontoide.

Rotina radiográfica da coluna cervical: Para adequada avaliação de instabilidade da articulação atlantoaxial, o estudo deve ser efetuado com a realização de três radiografias da coluna cervical em perfil, em três diferentes posições: neutro, flexão e extensão. Nas três incidências realizadas, o radiologista mede a distância entre a face posterior do arco anterior do atlas e a face anterior do processo odontoide de C2 (o valor considerada normal é menor ou igual a 4 mm) (figuras 1 e 2).

Autoria principal: Elazir Mota (Radiologia, especialista em Radiologia Pediátrica).

Goel A. Indicators of atlantoaxial instability. J Craniovertebr Junction Spine. 2021 Apr-Jun;12(2):103-106.

Cros T, Linares R, Castro A, et al. Estudio radiológico de las alteraciones cervicales en el sindrome de Down. Nuevos hallazgos mediante tomografía computarizada y reconstrucciones tridimensionales. Rev Neurol 2000;30:1101-7.

Pueschel MS. Should children with Down syndrome be screened for atlantoaxial instability? Arch Pediatr Adolescent Med 1998;152:123-5.

American Academy of Pediatrics – Committee on Environmental Health. Risk of ionizing radiation exposure to children: a subject review. Pediatrics 1998;101:717-9.