Conteúdo copiado com sucesso!

Invaginação Intestinal

Voltar
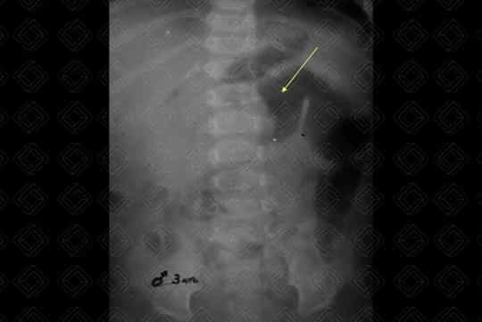
Texto alternativo para a imagem Figura 1. Créditos: Dra. Elazir Mota - Rio de Janeiro/RJ

Descrição da figura 1: Radiografia de abdome evidenciando o "sinal do menisco".

Texto alternativo para a imagem Figura 2. Créditos: Dra. Elazir Mota - Rio de Janeiro/RJ
Texto alternativo para a imagem Figura 3. Créditos: Dra. Elazir Mota - Rio de Janeiro/RJ
Texto alternativo para a imagem Figura 4. Créditos: Dra. Elazir Mota - Rio de Janeiro/RJ

Descrição das figura 2, 3 e 4: Ultrassonografia do abdome evidenciando o "sinal do alvo" - múltiplos anéis ecogênicos e concêntricos alternando-se com regiões hipoecoicas (os múltiplos anéis ecogênicos, na realidade, representam interfaces da parede intestinal), localizado na fossa ilíaca direita, caracterizando um quadro de invaginação intestinal ileocólica.

Invaginação intestinal: Também chamada de intussuscepção intestinal, consiste na invaginação do intestino proximal para dentro da sua luz distal. Trata-se do transtorno abdominal agudo mais comum no início da infância.

Cerca de 90% das invaginações são ileocólicas, sendo os 10% restante ileoileais e colocólicas. Elas podem ser divididas em dois grandes grupos: aquelas que possuem ponto inicial definido, ou seja, cabeça de invaginação, e aquelas que não apresentam este ponto inicial (95% dos casos). Os pontos iniciais incluem: divertículo de Meckel, linfoma e pólipos, entre outros.

Quadro clínico: 60% dos casos ocorrem no primeiro ano de vida e 90% ocorrem até o final do segundo ano de vida. A incidência mais elevada ocorre nos lactentes de 5 a 9 meses . Os principais sintomas são: dor abdominal intermitente, vômitos, sangue nas fezes e massa abdominal palpável. De modo geral, as típicas fezes em "geleia de framboesa" aparecem nas primeiras 24 horas, mas em raras ocasiões surgem em até dois dias do início do quadro.

Exame de imagem: Por se tratar de patologia pediátrica, diante dessa suspeita diagnóstica, deve ser solicitada ultrassonografia (USG) de abdome que diagnostica quase a totalidade dos casos quando realizada por médico experiente (sua sensibilidade varia entre 95-100%, com especificidade de 88-100%). A invaginação aparece na USG como "massa" complexa e com anéis concêntricos hipo e hiperecoicos que se alternam (o sinal da rosquinha ou do alvo ). Nas imagens em eixo longo, a intussuscepção lembra um rim no qual o "córtex renal" representa a intussuscepção edematosa hipoecoica e o "seio renal" corresponde à gordura mesentérica invaginada (sinal do pseudorrim ).

Tratamento: O tratamento pode ser cirúrgico ou por meio de redução hidrostática guiada por ultrassonografia. No entanto, vale salientar que existem contraindicações formais para tentativa de redução. São elas: presença de cabeça de invaginação evidente ao método, choque hipovolêmico, peritonite, sinais de perfuração e mais de 48 horas de evolução do quadro.

Autoria principal: Elazir Mota (Radiologia, especialista em Radiologia Pediátrica).

Gayer G, Zissin R, Apter S, et al. Pictorial review: adult intussusception – a CT diagnosis. Br J Radiol. 2002; 75:185-90.

Donnelly LF, et al. Diagnostic Imaging: Pediatrics. 2nd edition. Amirsys, 2012 [cms-watermark] .

Ahmad TM, Greer ML, Walters TD, et al. Bowel Sonography and MR Enterography in Children. AJR Am J Roentgenol. 2016; 206(1):173-81.

Wiersma F, Allema JH, Holscher HC. Ileoileal intussusception in children: ultrasonographic differentiation from ileocolic intussusception. Pediatr Radiol. 2006; 36(11):1177-81.

Goel I, Anand R, Choudhury SR, et al. Evolving Concepts in Ultrasonography of Pediatric Intussusceptions: Unequivocal Differentiation of Ileocolic, Obstructive and Transient Small-Bowel Intussusceptions. Ultrasound Med Biol. 2020; 46:589-97.