Conteúdo copiado com sucesso!

Leiomioma Uterino

Voltar
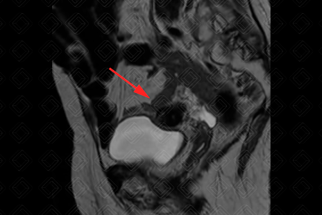
Texto alternativo para a imagem Figura 1. Créditos: Dra. Elazir Mota - Rio de Janeiro/RJ
Texto alternativo para a imagem Figura 2. Créditos: Dra. Elazir Mota - Rio de Janeiro/RJ
Texto alternativo para a imagem Figura 3. Créditos: Dra. Elazir Mota - Rio de Janeiro/RJ
Texto alternativo para a imagem Figura 4. Créditos: Dra. Elazir Mota - Rio de Janeiro/RJ
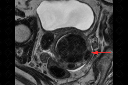
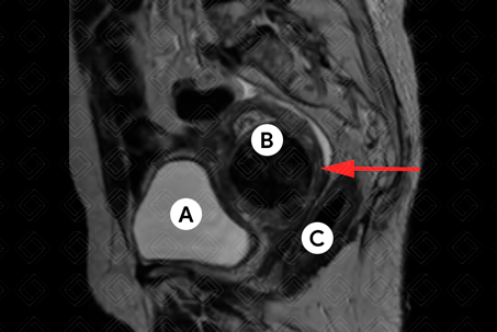
    Descrição das figuras 1, 2, 3 e 4: Ressonância magnética da pelve feminina. Imagens pesadas em T2 nos planos axial e sagital (A = bexiga; B = útero; C = reto). Útero em retroversão, de contorno lobulado e sinal heterogêneo, por conta de nódulos miometriais, bem delimitados, hipointensos em T2, compatíveis com leiomiomas, destacando-se:
  • Transmural, corporal posterior, medindo 5,0 x 4,8 x 4,6 cm (setas vermelhas à direita);
  • Subseroso, corporal lateral direito, medindo 3,0 x 2,0 x 1,8 cm (setas vermelhas à esquerda).
Texto alternativo para a imagem Figura 5. Créditos: Dra. Elazir Mota - Rio de Janeiro/RJ
Texto alternativo para a imagem Figura 6. Créditos: Dra. Elazir Mota - Rio de Janeiro/RJ

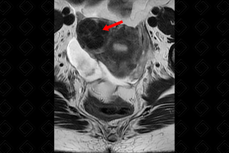
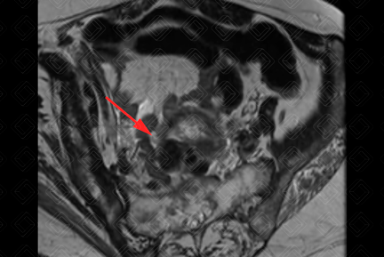
Descrição das figuras 5 e 6: Paciente do sexo feminino, 46 anos, com leiomiomas uterinos observados na sequência T2 sagital e axial, como formações arredondadas, com marcado baixo sinal, intramurais/subserosos (setas vermelhas).

Leiomioma uterino: Também conhecidos como miomas, são tumores benignos. Constituem a principal neoplasia ginecológica benigna, acometendo cerca de 20-30% das mulheres na fase reprodutiva. A ressonância magnética é o principal exame utilizado para sua adequada caracterização.

Essas lesões, como já dito acima, predominam nas mulheres em fase reprodutiva, podendo aumentar de tamanho na gestação ou em pacientes que fazem uso de contracepção oral. Em geral, suas dimensões diminuem após a menopausa.

Os leiomiomas podem crescer muito, levando a um aumento excessivo do fluxo sanguíneo e à incapacidade de suprimento sanguíneo adequado. Diante disso, essas lesões podem sofrer alguns tipos de degeneração, como: degeneração hialina ou mixoide, cística e hemorrágica.

Quadro clínico: A maioria dos leiomiomas uterinos são assintomáticos. Quando sintomáticos, pode ocorrer sangramento vaginal, dor, infertilidade e massa abdominal palpável.

    Classificação: Os leiomiomas mais comumente ocorrem no miométrio, mas podem estar presentes também na cérvice uterina. De acordo com a sua localização, eles podem ser:
  • Subserosos;
  • Submucosos (menos comum);
  • Intramurais (mais comum).

Essa classificação e descrição na imagem são importantes, pois os sintomas e o tratamento variam de acordo com a localização das lesões.

    Existe, ainda, a classificação da Federação Internacional de Ginecologia e Obstetrícia ( FIGO) - aqui os miomas são classificados em nove tipos, avaliando a relação dessas lesões com a cavidade endometrial, miométrio e a camada serosa:
  • Tipo 0: Intracavitário;
  • Tipo 1: Submucoso (< 50% intramural);
  • Tipo 2: Submucoso (> 50% intramural);
  • Tipo 3: Intramural (em contato com endométrio);
  • Tipo 4: Intramural;
  • Tipo 5: Subseroso (> 50% intramural);
  • Tipo 6: Subseroso (< 50% intramural);
  • Tipo 7: Subseroso pediculado;
  • Tipo 8: Cervical.
Texto alternativo para a imagem Figura 7. Representação da classificação. Adaptada de: Gomez E, et al., 2021
    Achados de imagem:
  • Ultrassonografia transvaginal:
    • Comumente, são lesões hipoecoicas em relação ao miométrio uterino (podem apresentar áreas anecoicas, de aspecto cístico, quando houver degeneração);
    • Dependendo das dimensões do leiomioma, pode ser um exame de difícil realização;
    • Nas lesões pequenas e nas mãos de radiologistas experientes, é possível sua adequada avaliação por meio da ultrassonografia.
  • Tomografia computadorizada do abdome:
    • Não é realizada de rotina, pois trata-se de um exame com grande exposição à radiação ionizante e que não permite uma avaliação adequada da região pélvica (no caso do sexo feminino, útero e ovários);
    • Na maioria das vezes, é solicitada no contexto de atendimento de urgência/emergência;
    • Em geral, quando há lesão miomatosa, podemos ver uma lesão isodensa ao miométrio, distorcendo os contornos uterinos;
    • Informações adicionais são muito limitadas na tomografia.
  • Ressonância magnética da pelve:
    • Exame de escolha diante da suspeita diagnóstica ou para acompanhamento das lesões;
    • Leiomiomas uterinos não degenerados possuem uma imagem característica na ressonância;
    • São lesões bem circunscritas, a maioria homogênea, com hipossinal em T2;
    • Nos leiomiomas degenerados, a aparência na sequência T2 pode ser variável;
    • Naqueles com degeneração cística, pode haver um sinal elevado em T2;
    • Se houver degeneração hemorrágica, observa-se alto sinal em T1 e hipossinal em T2;
    • Deve-se lembrar que um realce variável após a administração do contraste (gadolínio) pode ocorrer nesse tipo de lesão.

Diagnósticos diferenciais: Adenomiomas; massa anexial sólida, leiomiossarcoma uterino, contração uterina focal e outras.

Autoria principal: Elazir Mota (Radiologia, especialista em Radiologia Pediátrica).

Ueda H, Togashi K, Konishi I [cms-watermark] , et al. Unusual appearances of uterine leiomyomas: MR imaging findings and their histopathologic backgrounds. Radiographics. 1999; 19 Spec No:S131-45.

Okamoto Y, Tanaka YO, Nishida M, et al. MR imaging of the uterine cervix: imaging-pathologic correlation. Radiographics. 2003; 23(2):425-45.

Wilde S, Scott-barrett S. Radiological appearances of uterine fibroids. Indian J Radiol Imaging. 2009; 19(3):222-231.

Gomez E, Nguyen MT, Fursevich D, et al. MRI-based pictorial review of the FIGO classification system for uterine fibroids. Abdom Radiol (NY). 2021; 46(5):2146-2155.

Hossain MZ, Rahman MM, Ullah MM, et al. A comparative study of magnetic resonance imaging and transabdominal ultrasonography for the diagnosis and evaluation of uterine fbroids. Mymensingh Med J. 2017; 26(4):821‐827.

Cohen D, Oliva E, Hahn P, et al. Uterine Smooth-Muscle Tumors with Unusual Growth Patterns: Imaging with Pathologic Correlation. AJR Am J Roentgenol. 2007; 188(1):246-55.