Conteúdo copiado com sucesso!

Leptospirose

Voltar
Texto alternativo para a imagem
Texto alternativo para a imagem
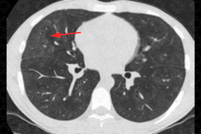
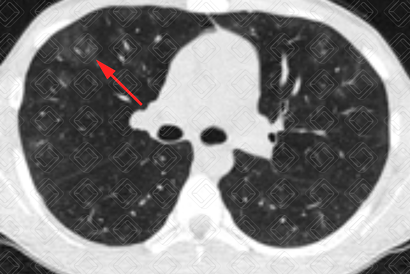
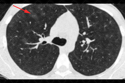
Texto alternativo para a imagem Créditos: Dra. Elazir Mota - Rio de Janeiro/RJ

Descrição das imagens: Tomografia computadorizada do tórax evidenciando tênues lesões em vidro fosco (setas vermelhas) dispersas pelo parênquima pulmonar, por hemorragia alveolar. Caso confirmado de leptospirose com apresentação pulmonar.

Leptospirose: Trata-se de uma zoonose de distribuição mundial causada por bactérias espiroquetas do gênero Leptospira . A doença é mantida na natureza por meio de animais cronicamente infectados, dos quais ratos são os mais conhecidos. A transmissão ocorre com contato direto ou indireto com urina ou tecidos de animais infectados. O contato indireto de pele, mucosas ou conjuntiva com urina de roedores, em água ou solo úmido, é provavelmente o principal meio de contágio.

    Apesar de as enchentes serem o vínculo epidemiológico mais clássico, outras exposições não devem ser esquecidas:
  • Contato com solos úmidos ou enlameados;
  • Trabalhadores de sistemas subterrâneos, como galerias pluviais ou redes de cabos telefônicos;
  • Exposições recreacionais, como rafting ou natação em águas possivelmente contaminadas.

Quadro clínico: A infecção é assintomática na maioria dos pacientes, mas eventualmente manifesta-se por quadro clínico característico, de início agudo, com febre, mialgia, icterícia e congestão conjuntival como os principais achados. O comprometimento de diferentes órgãos pelo parasita conduz ao óbito em cerca de 5-10% dos casos, principalmente por lesões renais, vasculares ou miocárdica.

    Exames de imagem:
  • Radiografia de tórax: Infiltrado alveolar difuso e bilateral (traduzindo a presença de hemorragia). Trata-se no entanto de um achado inespecífico de imagem, devendo ser interpretado adequadamente aliado à história clínica e exames de imagem;
  • Tomografia computadorizada de tórax: Opacidades em vidro fosco, pavimentação em mosaico (padrão caracterizado por áreas em vidro fosco associado a espessamento dos septos interlobulares) e consolidações são os achados mais frequentemente observados e traduzem a presença de hemorragia alveolar (uma complicação que ocorre na leptospirose), como demonstrado nas imagens acima. Sua distribuição é preferencialmente periférica, subpleural e nas regiões póstero-inferiores dos pulmões. Cabe lembrar, no entanto, que são achados de imagem inespecíficos, assim como na radiografia. O diagnóstico só pode ser sugerido diante de uma boa história clínica.

Diagnósticos diferenciais: D oenças que cursem com padrão em vidro fosco, com inúmeros diagnósticos diferenciais: proteinose alveolar, pneumonia lipoidica, carcinoma bronquioloalveolar, pneumocistose , (SIDA), insuficiência cardíaca congestiva , pneumonite de hipersensibilidade e outras.

Autoria principal: Elazir Mota (Radiologia, especialista em Radiologia Pediátrica).

Hüttner MD, Pereira HCP, Tanaka RM. Leptospiral pneumonia . J Bras Pneumol. 2002; 28(4):229-232.

Trevejo RT, Rigau-Perez JG, Ashford DA, et al. Epidemic leptospirosis associated with pulmonary hemorrhage-Nicaragua, 1995. Journal of Infectious Diseases. 1998; 178(5):1457-63.

Sehgal SC, Murhekar MV, Sugunan AP. Outbreak of leptospirosis with pulmonary involviment in North Andaman. Indian J Med Res. 1995; 102:9-12.

Trivedi SV, Chavda RK, Wadia PZ, et al. The role of glucocorticoid pulse therapy in pulmonary involvement in leptospirosis. J Am Physicians India. 2001; 49:901-3.

Collins J, Stern EJ. Ground-glass opacity at CT: the ABCs. AJR. 1997; 169:355-67.