Conteúdo copiado com sucesso!

Leucodistrofia Metacromática

Voltar
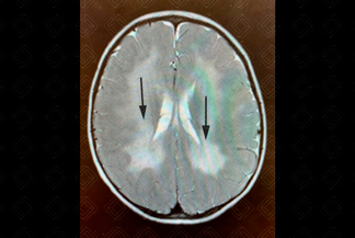
Texto alternativo para a imagem Crédito: Dra. Elazir Mota - Rio de Janeiro/RJ

Descrição da imagem: Menino de 2 anos, com desenvolvimento normal até os 4 meses, com subsequente início de quadro de ataxia e desequilíbrio. Ressonância magnética, imagem axial, T2 evidencia padrão tigroide (setas pretas).

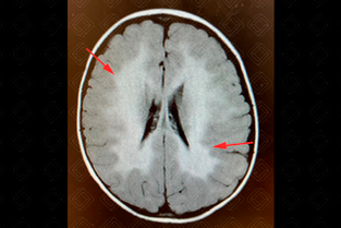
Texto alternativo para a imagem Crédito: Dra. Elazir Mota - Rio de Janeiro/RJ

Descrição da imagem: Imagem axial, FLAIR com padrão periventricular em asa em borboleta (setas vermelhas).

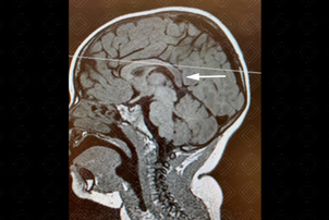
Texto alternativo para a imagem Crédito: Dra. Elazir Mota - Rio de Janeiro/RJ

Descrição da imagem: Sagital T1, comprometimento do esplênio do corpo caloso (seta branca).

Leucodistrofia metacromática: Doença de armazenamento lisossômico causada por redução da arilsulfatase A (ARSA), resultando em desmielinização do sistema nervoso central e periférico. Existem três formas clínicas: infantil tardia (mais comum), juvenil e adulto. Não há predileção por sexo.

    Quadro clínico: Depende da faixa etária de acometimento:
  1. Infância tardia: Início insidioso ao redor do 2 o ano de vida. Cursa com estrabismo, distúrbio de marcha, ataxia, fraqueza e hipotonia;
  2. Juvenil: Aparece entre 5 e 10 anos de idade. Cursa com desempenho escolar deficiente (dificuldade de aprendizado não verbal);
  3. Adultos: Ocorre ao redor da 3 a ou 4 a décadas de vida. Pode se apresentar como esclerose múltipla.
    Exames de imagem:
  1. Tomografia computadorizada de crânio: Achados costumam ser inespecíficos, como redução da atenuação da substância branca profunda dos hemisférios cerebrais; atrofia tardia. Não há realce pelo meio de contraste;
  2. Ressonância magnética do crânio: É o exame de escolha diante da suspeita clínica:
    • Achados precoces: Redução do sinal em T1 na substância branca profunda; no T2 há um hipersinal confluente periventricular (em forma de borboleta), com preservação de mielina perivenular (padrão tigroide) e, inicialmente, pode haver preservação das fibras em U;
    • Achados tardios: Atrofia cerebral. Na ressonância observa-se o envolvimento das fibras em U, corpo caloso e cápsula interna.

Diagnósticos diferenciais: D oença de Pelizaeus-Merzbacher, TORCH , leucomalácia periventricular, síndrome de Sneddon, doença de Krabbe, leucoencefalopatia megalencefálica com cistos.

Autoria principal: Elazir Mota (Radiologia, especialista em Radiologia Pediátrica).

Berto MH, Cervelin JC, Frizon R, et al. Leucodistrofia Metacromática: relato de caso de criança com forma infantil tardia. Revista Neurociências. 2020; 28.1-15.

Lamichhane A, Cabrero FR. Metachromatic Leukodystrophy. [Internet]. StatPearls. Treasure Island, FL: StatPearls Publishing. (Accessed on April 12, 2023).

Gieselmann V, Krägeloh-Mann I. Metachromatic leukodystrophy-an uptodate. Neuropediatrcis. 2010; 41(1):1-6.

Kim TS, Kim IO, Kim WS, et al. MR of childhood metachromatic leukodystrophy. AJNR Am J Neurorradiol. 1997; 18(4):733-8.