Conteúdo copiado com sucesso!

Linfangioleiomiomatose

Voltar
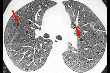
Texto alternativo para a imagem Créditos: Dra. Elazir Mota - Rio de Janeiro/RJ

Descrição da imagem: Tomografia computadorizada do tórax. Múltiplos cistos, dispersos pelo parênquima, em paciente do sexo feminino, compatível com linfangioliomiomatose.

Linfangioleiomiomatose : Trata-se de uma doença pulmonar cística rara, acometendo, exclusivamente, pacientes do sexo feminino, com idade média ao redor dos 40 anos. No entanto, manifestações pulmonares semelhantes a linfangioleiomiomatose já foram observadas em pacientes do sexo masculino, portadores de esclerose tuberosa.

Quadro clínico: A chado mais frequente é a dispneia aos esforços, associado ou não a pneumotórax. Queixas menos frequentes são tosse seca, dor torácica, quilotórax, hemoptise e outros. O quadro sindrômico clássico fica bastante fortalecido quando identificado a associação de pneumotórax espontâneo, quilotórax, hemoptise e dispneia progressiva na mulher em idade reprodutiva, com início ou exacerbação da sintomatologia nos períodos gestacional e menstrual, ou relacionado ao uso de anticoncepcional oral.

    Exames de imagem:
  • Radiografia de tórax : Mais comumente, sem alterações neste método.
  • Tomografia computadorizada do tórax: Exame de escolha para avaliação de doenças pulmonares císticas. Observamos numerosos cistos com conteúdo aéreo, arredondados e dispersos difusamente pelo parênquima. Em alguns pacientes, há ruptura dos cistos mais subpleurais e surgimento de pneumotórax espontâneo.

Diagnóstico diferencial: C om outras doenças pulmonares císticas, como histiocitose, Birt Hogg Dubé, pneumonia intersticial linfocítica (PIL).

Autoria principal: Elazir Mota (Radiologia, especialista em Radiologia Pediátrica).

Pontes M, Barbosa C, Coelho ML, Carvalho L. Linfangioleiomiomatose pulmonar inicial provável e linfangioleiomioma mediastínico. Rev Port Pneumol. 2014; 20(2):101-106.

Lee KH, Lee JS, Lynch DA, Song KS, Lim TH. The radiologic differential diagnosis of diffuse lung diseases characterized by multiple cyst or cavities. J Comput Assist Tomogr 2002;26:5-12.

Lymphangioleiomyomatosis: Pulmonary and Abdominal Findings with Pathologic Correlation Esther Pallisa, Pilar Sanz, Antonio Roman, Joaquim Majó, Jordi Andreu, and José Cáceres RadioGraphics 2002 22:suppl_1, S185-S198

Müller NL, Chiles C, Kullnig P. Pulmonary lymphangiomyomatosis: correlation of CT with radiographic and functional findings. Radiology 1990; 175:335-339.