Conteúdo copiado com sucesso!

Linfangioma

Voltar
Texto alternativo para a imagem
Texto alternativo para a imagem Créditos: Dra. Elazir Mota - Rio de Janeiro/RJ

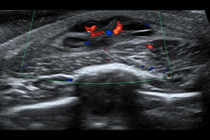
Descrição das figuras: Formações císticas, com finos septos internos e vascularização periférica ao Doppler colorido, localizada na parede torácica esquerda, compatível com linfangioma.

Linfangioma ou malformação linfática: Também conhecido como higroma cístico, é uma malformação congênita caracterizada pela presença de canais linfáticos dilatados. Cerca de 50% estão presentes ao nascimento e 90% são identificados já no primeiro ano de vida.

Subdivide-se em forma microcística , macrocística ou mista . A forma macrocística caracteriza-se por lesões maiores ou iguais a 2 cm.

Quadro clínico: C linicamente, são lesões de crescimento lento, assintomáticas. Em geral, as mães vão ao pronto-socorro após o crescimento rápido da lesão, que ocorre quando há sangramento ou infecção bacteriana da mesma.

Os principais locais de surgimento destas lesões são: região cervical , axilar e mediastino .

    Exames de imagem:
  • Ultrassonografia de partes moles: Trata-se do exame de imagem de escolha para avaliação de malformações vasculares e/ou linfáticas. No linfangioma macrocístico (forma mais comum), a lesão contém formações císticas, de tamanhos variados, com conteúdo líquido e separado por septos hiperecoicos. O interior dos cistos apresenta conteúdo anecoico, exceto quando há sangramento ou processo infeccioso associado, podendo o conteúdo do cisto tornar-se heterogêneo, com nível líquido-líquido. Ao Doppler colorido, a lesão mostra-se avascular (f iguras acima);
  • Ressonância magnética das partes moles: C ostuma ser usada somente nos casos não esclarecidos pela ultrassonografia.

Autor(a) principal: Elazir Mota (Radiologia, especialista em Radiologia Pediátrica).

Paltiel HJ, Burrows PE, Kozakewich HP, et al. Soft-tis- sue vascular anomalies: utility of US for diagnosis. Radiology. 2000; 214:747-754.

Manaster BJ. Soft-tissue masses: optimal imaging protocol and reporting. Am J Roentgenol. 2013; 201:505-514.

International Society for the Study of Vascular Anomalies. ISSVA classification for vascular anomalies - 2014.

Dubois J, Garel L, David M, et al. Vascular soft- tissue tumors in infancy: distinguishing features on doppler sonography. Am J Roentgenol. 2002; 178:1541-1545.