Conteúdo copiado com sucesso!

Malformação de Chiari Tipo 2

Voltar
Texto alternativo para a imagem
Texto alternativo para a imagem
Texto alternativo para a imagem
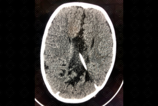
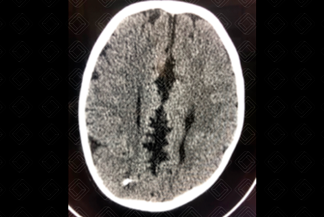
Texto alternativo para a imagem Créditos: Dra. Elazir Mota - Rio de Janeiro/RJ

Descrição das imagens: Tomografia computadorizada do plano axial, exibindo a fossa posterior pequena e interdigitação da foice cerebral. Achados compatíveis com malformação de Chiari tipo 2. Observa-se ainda a presença de cateter de derivação ventricular na região parietal posterior esquerda.

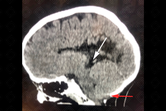
Texto alternativo para a imagem Créditos: Dra. Elazir Mota - Rio de Janeiro/RJ

Descrição da imagem: Tomografia computadorizada do crânio com reconstrução sagital, confirmando achados característicos da malformação de Chiari tipo 2. Observa-se o mesencéfalo em bico (seta branca), o deslocamento do vérmis cerebelar através do forame magno (seta vermelha) e o cerebelo em torre.

Malformação de Chiari tipo 2: Trata-se de uma malformação complexa do rombencéfalo. Praticamente 100% dos casos estão associados a defeito de fechamento do tubo neural, em geral mielomeningocele lombar. A malformação de Chiari tipo 2 parece ocorrer secundária à sequela do extravasamento de liquor através do disrafismo espinhal aberto durante a gestação (4 a semana).

Quadro clínico: S inais e sintomas mais comuns nos neonatos são presença da mielomeningocele, aumento do perímetro cefálico e sintomas relacionados à hidrocefalia. Já nas crianças/adultos existem os sintomas relacionados à hidrocefalia e síndrome da medula ancorada.

    Exames de imagem:
  • Ultrassonografia transfontanela: Muitas vezes é o primeiro exame solicitado nos recém nascidos, auxiliando no seu diagnóstico;
  • Tomografia computadorizada do crânio: Fossa posterior obliterada (pequena), incisura do tentório alargada, mesencéfalo em bico e deslocamento inferior do vérmis cerebelar;
  • Ressonância magnética do crânio: C erebelo em "torre"→ compressão do mesencéfalo com o teto mesencefálico em "bico", quarto ventrículo alongado sem ápice posterior (fastígio), disrafismo espinhal aberto (mielomeningocele) → 100% dos casos, sendo mais comum na coluna lombar seguida da cervical.

Diagnósticos diferenciais: M alformação de Chiari I, malformação de Chiari III, hipotensão liquórica intracraniana e hidrocefalia grave crônica (congênita).

Autoria principal: Elazir Mota (Radiologia, especialista em Radiologia Pediátrica).

Akbar SHA, Limbrick DD Jr, Kim DH, et al. Surgical management of symptomatic Chiari II malformation in infants and children. Childs Nerv Syst. 2013; 29(7):1143-54.

Vinck A, Maassen B, Mullaart R, et al. Arnold-Chiari-II malformation and cognitive functioning in spina bifida. J Neurol Neurosurg Psychiatry. 2006; 77(9):1083-6.

Stevenson KL. Chiari type II malformation: past, present, and future. Neurosurg Focus. 2004; 16:E5.

Geerdink N, van der Vliet T, Rotteveel JJ, et al. Essential features of Chiari II malformation in MR imaging: an interobserver reliability study--part 1. Childs Nerv Syst. 2012; 28(7):977-85.

Kawamura T, Morioka T, Nishio S, et al. Cerebral abnormalities in lumbosacral neural tube closure defect: MR imaging evaluation. Childs Nerv Syst. 2001; 17:405–410.