Conteúdo copiado com sucesso!

Massas Mediastinais

Voltar
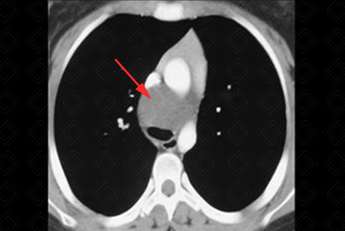
Texto alternativo para a imagem Figura 1. Créditos: Dra. Elazir Mota - Rio de Janeiro/RJ

Descrição da figura 1: Cisto de duplicação (seta vermelha).

Texto alternativo para a imagem Figura 2. Créditos: Dra. Elazir Mota - Rio de Janeiro/RJ
Texto alternativo para a imagem Figura 3. Créditos: Dra. Elazir Mota - Rio de Janeiro/RJ

Descrição das figuras 2 e 3: Massa em mediastino posterior, compatível com neurofibroma em paciente portador de neurofibromatose tipo 1.

Texto alternativo para a imagem Figura 4. Créditos: Dra. Elazir Mota - Rio de Janeiro/RJ

Descrição da figura 4: Tomografia computadorizada do tórax evidenciando massa mediastinal em paciente de 13 anos, sexo feminino, com queixa de cansaço e tosse há alguns meses. Observa-se no mediastino massa heterogênea, com focos grosseiros de calcificação e áreas hipodensas, com densidade de gordura (- 21UH), compatível com teratoma.

Massas mediastinais: As massas mediastinais mais comuns são (> 60% dos casos): timoma, tumores neurogênicos, cistos benignos e linfonodomegalias.

    Quando vemos uma massa na radiografia, é possível identificar sua origem?
  • Mediastinal ou pulmonar? As massas, quando mediastinas, formam um ângulo obtuso com o parênquima pulmonar, não contêm broncogramas aéreos; as linhas mediastinais, na maioria das vezes, estarão interrompidas e podem estar associadas a alterações/anomalias nos arcos costais, coluna e esterno;
  • A lesão está no mediastino anterior, médio ou posterior? É importante lembrar que não há nenhum plano anatômico separando esses compartimentos. Rotineiramente, na radiografia do tórax em perfil, traçamos linhas imaginárias: uma delas anterior à traqueia e posterior à veia cava (ela separa mediastino anterior e médio) e outra linha, 1 cm posterior à borda anterior dos corpos vertebrais (separa mediastinos médio e posterior).
    Compartimentos mediastinais:
  • O mediastino anterior contém as seguintes estruturas: timo, linfonodos, aorta ascendente, artéria pulmonar, nervo frênico e tireoide. Os 4 "T"s auxiliam a lembrar as principais lesões: timoma, teratoma, tireoide e terrível linfoma ;
  • O mediastino médio contém as seguintes estruturas: linfonodos, traqueia, esôfago, veia ázigo, veia cava, coração e arco aórtico. As principais lesões aqui são os cistos de duplicação intestinal ou linfonodomegalias (f igura 1);
  • O mediastino posterior contém as seguintes estruturas: gânglios simpáticos, cadeias parassimpáticas, linfonodos, nervos, ducto torácico, aorta descendente, pequenos vasos e vértebras. A maioria das lesões possuem natureza neurogênica (eles podem ter origem do sistema nervoso simpático, como neuroblastoma , ou dos nervos, como neurofibroma ou schwannoma ) (figuras 2 e 3).

Autoria principal: Elazir Mota (Radiologia, especialista em Radiologia Pediátrica).

Marchiori E, Hochhegger B, Zanetti G. Anterior mediastinal mass. J Bras Pneumol. 2018; 44(1):3.

Ramanathan S, Palaniappan Y, Virmani V. Differential diagnosis of anterior mediastinal masses. AJR Am J Roentgenol. 2015; 204(4):W494.

Muller NL, Silva CI, editors. Imaging of the Chest. Philadelphia: Saunders Elsevier, 2008.

Marchiori E, Escuissato DL, Irion KL, et al. Extramedullary hematopoiesis: findings on computed tomography scans of the chest in 6 patients. J Bras Pneumol. 2008; 34(10):812-6.

Devaraj A, Griffin N, Nicholson AG, et al. Computed tomography findings in fibrosing mediastinitis. Clin Radiol. 2007; 62:781–786.