Conteúdo copiado com sucesso!

Mastoidite Aguda

Voltar
Texto alternativo para a imagem
Texto alternativo para a imagem
Texto alternativo para a imagem Créditos: Dra. Elazir Mota - Rio de Janeiro/RJ

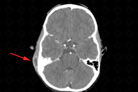
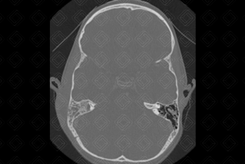
Descrição das figuras: Tomografia computadorizada das mastoides com contraste venoso. Observa-se no plano axial com filtro ósseo o preenchimento das células mastoideas à direita. As células mastoideas à esquerda encontram-se normoaeradas. Há ainda presença de coleção no ouvido externo à direita (setas vermelhas). Os planos axial e coronal caracterizam um quadro de otomastoidite à direita.

Mastoidite aguda: Trata-se da infecção das células mastoideas, representando a complicação mais comum das otites. Deve ser realizada com contraste venoso, para afastar possíveis complicações como coleções, trombose de seios venosos, erosões ósseas, osteomielites de base do crânio, abscessos cerebrais, meningite e outras

Quadro clínico: Dor retroauricular, eritema e edema local, podendo causar protusão do pavilhão auricular. Achados não específicos também podem ocorrer, como otalgia e febre.

    Exames de imagem:
  • Tomografia computadorizada das mastoides: O bserva-se preenchimento das células mastoides, com erosão dos septos. Deve ser realizada após a administração do contraste venoso para afastar complicações, como coleções, trombose de seios durais, abscessos cerebrais, osteomielite, erosões ósseas e outros;
  • Ressonância magnética do crânio: N ão é o exame de escolha, mas pode ser usada também para avaliar uma suspeita de mastoidite aguda e suas complicações. Há baixo sinal em T1, com alto sinal em T2, restrição a difusão e realce mucoso no estudo pós contraste.

Autoria principal: Elazir Mota (Radiologia, especialista em Radiologia Pediátrica).

Swartz JD, Harnsberger MR. Imaging of the Temporal Bone. 4th ed. New York: Thieme, 2008.

Lemmerling M, Kollias SS. Radiology of the Petrous Bone. New York: Springer, 2003.

Vazquez E, Castellote A, Piqueras J, et al. Imaging of complications of acute mastoiditis in children. (2003) Radiographics. 2003; 23(2):359-72.

Platzek I, Kitzler HH, Gudziol V, et al. Magnetic resonance imaging in acute mastoiditis. Acta Radiol Short Rep. 2014; 3(2):2047981614523415.