Conteúdo copiado com sucesso!

Mucocele de Apêndice

Voltar
Texto alternativo para a imagem
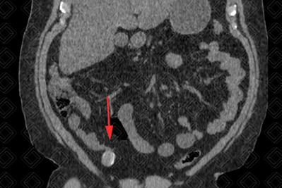
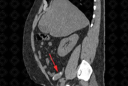
Texto alternativo para a imagem Figuras 1 e 2. Créditos: Dra. Elazir Mota - Rio de Janeiro/RJ

Descrição das figuras 1 e 2: Tomografia computadorizada do abdome; cortes sagital e coronal evidenciando imagem tubular, hipodensa e com calcificação parietal (setas vermelhas), compatível com mucocele de apêndice.

Mucocele de apêndice: Ocorre quando há acúmulo anormal de mucina no apêndice vermiforme, causando sua distensão. Apresenta várias causas não neoplásicas e neoplásicas.

Quadro clínico: N a maioria dos casos é assintomático, sendo um achado de imagem. Quando sintomática, suas queixas mais comuns são dor abdominal esporádica, de intensidade e duração variáveis, no quadrante inferior direito.

    Achados de imagem:
  • Radiografia de abdome: Podemos observar a presença de calcificações na fossa ilíaca direita;
  • Tomografia computadorizada do abdome: Em geral, vemos uma lesão tubular, hipodensa, contígua a base do ceco e, em cerca de 50% dos casos, elas contêm calcificações murais (figuras acima). Atenção: Diante da presença de espessamento parietal irregular e nódulos murais, devemos suspeitar de malignidade. Por isso, o exame idealmente deve ser realizado com contraste venoso;
  • Ressonância magnética do abdome: A lesão apresenta hipersinal em T2 e sinal variável em T1 variado de hipo a isointenso.

Diagnósticos diferenciais: A pendicite , cistoadenoma mucinoso do apêndice e cistoadenocarcinoma de apêndice.

Autoria principal: Elazir Mota (Radiologia, especialista em Radiologia Pediátrica).

Leonards LM, Pahwa A, Patel MK, et al. Neoplasms of the Appendix: Pictorial Review with Clinical and Pathologic Correlation. Radiographics. 2017; 37(4):1059-1083.

Wang H, Chen YQ, Wei R, et al. Appendiceal mucocele: A diagnostic dilemma in differentiating malignant from benign lesions with CT. AJR Am J Roentgenol. 2013; 201(4):W590-5.

Bennett GL, Tanpitukpongse TP, Macari M, et al. CT diagnosis of mucocele of the appendix in patients with acute appendicitis. AJR Am J Roentgenol. 2009; 192(3):W103-10.

Francica G, Lapiccirella G, Giardiello C, et al. Giant mucocele of the appendix: clinical and imaging findings in 3 cases. J Ultrasound Med. 2006; 25(5):643-8.

Lien WC, Huang SP, Chi CL, et al. Appendiceal outer diameter as an indicator for differentiating appendiceal mucocele from appendicitis. Am J Emerg Med. 2006; 24(7):801-5.