Conteúdo copiado com sucesso!

Nódulo Renal

Voltar
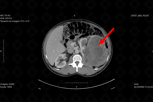
Texto alternativo para a imagem Créditos: Athena Hub/Medical Harbour

Descrição da figura: Tomografia computadorizada do abdome após injeção do contraste, na fase nefrográfica, evidenciando volumosa lesão renal esquerda, parcialmente exofítica, com densidade de partes moles, heterogênea, contendo áreas internas hipocaptantes do meio de contraste (seta vermelha). Seu resultado final foi compatível com carcinoma de células renais (CCR).

Nódulo renal: Falaremos da abordagem prática do nódulo renal observado nos exames de imagem, podendo ser achado incidental ou estar relacionado à queixa clínica do paciente.

    Protocolo de exame:
  • Tomografia computadorizada do abdome com contraste venoso (sempre será necessário o estudo com contraste venoso, em bomba injetora, trifásico para o esclarecimento de lesões sólidas renais): Fase sem contraste ; fase córtico-medular (25-50s), nefrográfica (80-100s) e excretora (>180s);
  • Ressonância magnética do abdome com contraste venoso (gadolínio): Protocolo básico deve conter sequência T2 , in e out phase , T1 fat sat pré e pós-contraste e DWI/ADC .
    Diferenciando lesões renais: Primeiramente, descartar se não se trata de uma lesão cística. Confirmando se tratar de nódulo, devemos seguir alguns passos:
  • Presença de gordura macroscópica - isso sugere a possibilidade de angiomiolipoma ;
  • Excluir condições que podem simular condições tumorais, como infecção ou infarto (usualmente, o contexto clínico é diferente);
  • Excluir a possibilidade de doença metastática ou linfoma .

A análise do formato da lesão na imagem pode auxiliar no diagnóstico: quando a lesão deforma o contorno renal (mais sugestivo de carcinoma de células renais ou oncocitoma ) e lesão não deforma contorno renal , mantendo seu formato em "feijão" (carcinoma de células transicionais).

    Principais causas de nódulos renais:
  • Carcinoma de células renais (CCR): Em boa parte dos casos são achados de imagem, porque os sintomas ocorrem mais tardiamente. Seu pico de incidência é em torno dos 60-70 anos. Seus principais subtipos incluem: carcinoma de células claras (mais comum subtipo neste grupo. Em geral, são lesões hipervasculares e heterogêneas nos estudos de imagem, por necrose, sangramento ou degeneração cística), carcinoma papilífero (segundo subtipo mais comum, comumente são hipovasculares e homogêneas) , carcinoma cromófobo (melhor prognóstico, com achados de imagem inespecíficos, sendo importante diagnóstico diferencial com oncocitoma);
  • Angiomiolipomas: Trata-se da lesão sólida benigna mais comum. Em 20% dos casos associa-se a síndromes genéticas (as mais comuns são esclerose tuberosa e linfangioleiomiomatose ). Nos exames de imagem, costumam ser lesões bem definidas, heterogêneas e na tomografia computadorizada tipicamente apresentam densidade igual ou inferior a -20 UH (densidades negativas confirmam a presença de gordura e permitem dar esse diagnóstico com certa tranquilidade). Eles podem ser múltiplos. Seu diagnóstico pode ser difícil naqueles pacientes com angiomiolipomas pobres em gordura (por sorte, representam somente cerca de 5% dos casos);
  • Oncocitomas : São as segundas lesões sólidas benignas mais comum no rim. Costumam ser lesões bem delimitadas, com realce homogênea, exceto pela sua cicatriz central. Pode ser muito difícil diferenciá-las de CCR (principalmente, com relação ao subtipo cromófobo) e, por isso, costumam ser as lesões benignas mais comumente excisadas cirurgicamente;
  • Carcinoma de células transicionais: Também conhecido como carcinoma de células uroteliais, mais frequentemente crescem a partir da pelve renal. Pode ser muito difícil sua detecção ou suspeição no estudo sem contraste. A fase nefrográfica e excretora são essenciais para o adequado diagnóstico;
  • Linfoma: O rim é um sítio extranodal muito comum nos linfomas, principalmente nos linfomas não Hodgkin. O envolvimento primário do rim é bastante raro;
  • Metástases: Aquelas que mais comumente metastatizam para os rins são: melanoma, pulmão, mama e tumores gastrointestinais.

Autoria principal: Elazir Mota (Radiologia, especialista em Radiologia Pediátrica).

Kang SK, Huang WC, Pandharipande PV, et al. Solid Renal Masses: What the Numbers Tell Us. AJR; 2014; 202:1196-1206.

Roussel E, Campi R, Amparore D, On Behalf Of The European Association Of Urology Eau Young Academic Urologists Yau Renal Cancer Working Group, et al. Expanding the Role of Ultrasound for the Characterization of Renal Masses. [cms-watermark] J Clin Med. 2022; 11(4):1112.

Repeckaite G, Zviniene K, Jankauskiene J, et al. [cms-watermark] Small Renal Masses without Gross Fat: What Is the Role of Contrast-Enhanced MDCT? Diagnostics (Basel). 2022; 12(2):553.

Massa'a RN, Stoeckl EM, Lubner MG, et al. [cms-watermark] Differentiation of benign from malignant solid renal lesions with MRI-based radiomics and machine learning. Abdom Radiol (NY). 2022; 47(8):2896-2904.