Conteúdo copiado com sucesso!

Necrose da Gordura Epipericárdica

Voltar
Texto alternativo para a imagem Créditos: Dra. Elazir Mota - Rio de Janeiro/RJ
Texto alternativo para a imagem Créditos : Dra. Elazir Mota - Rio de Janeiro/RJ

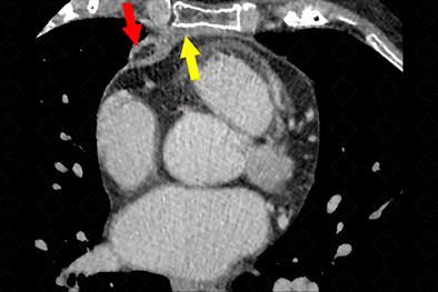
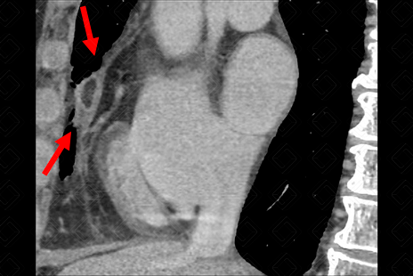
Descrição das imagens: Tomografia computadorizada do tórax, janela de mediastino. Observa-se lesão ovalada, com densidade de gordura no seu interior (setas vermelhas), associada a espessamento do pericárdio (seta amarela), em paciente com dor torácica aguda, compatível com necrose da gordura epipericárdica.

Necrose gordura epipericárdica: T rata-se de uma condição rara, benigna e autolimitada, sendo um diagnóstico diferencial importante nos pacientes com dor torácica. [cms-watermark]

A fisiopatologia da doença permanece incerta e inúmeras teorias estão envolvidas, como torção do pedículo vascular do tecido adiposo e alterações estruturais do paciente, como sobrepeso/ obesidade.

Quadro clínico: A necrose da gordura epicárdica cursa com uma dor aguda e autolimitada, assemelhando-se a apendagite epiploica (acessar tópico de abdome para mais informações).

    Exames de imagem: Existe uma grande dificuldade diagnóstica, tanto pelos sintomas inespecíficos, quanto pelo desconhecimento da doença. Deste modo, é fundamental que radiologistas, clínicos e cardiologistas saibam a respeito para que pensem nessa possibilidade.
  • Radiografia do tórax: P odemos observar uma opacidade justacardíaca, próximo ao ângulo cardiofrênico associada ou não a derrame pleural.
  • Tomografia computadorizada de tórax: Observamos uma imagem arredondada, encapsulada, com densidade de gordura, podendo ou não estar associado a espessamento do pericárdio e, até mesmo, derrame pleural.
  • Ressonância magnética do tórax: A lesão apresentará alto sinal na imagem ponderada em T2 pelo edema, com realce pós contraste, traduzindo o processo inflamatório em atividade.

O tratamento deve ser realizado com uso de sintomáticos, em geral anti-inflamatórios.

Diagnósticos diferenciais: L ipoma epi/pericárdico , lipossarcoma , timolipoma , hérnia diafragmática .

Autoria principal: Elazir Mota (Radiologia, especialista em Radiologia Pediátrica).

Zafar MR, Mustafa SF, Shahbaz A, Warraich S, Altaf A. Epipericardial Fat Necrosis: A Concise Review of Literature. Cureus. 2021 Feb 3;13(2):e13106.

Epipericardial fat necrosis: who should be a candidate? Giassi KdeS, Costa AN, Bachion GH, Kairalla RA, Filho JRP. AJR Am J Roentgenol. 2016;207:773–777

Lacasse MC, Prenovault J, Lavoie A, Chartrand-Lefebvre C. Pericardial fat necrosis presenting as acute pleuritic chest pain. J Emerg Med. 2012;44(2):e269-e271.

Baig A, Campbell B, Russell M, Singh J, Borra S. Epicardial fat necrosis: an uncommon etiology of chest pain. Cardiol J. 2012;19(4):424-428.

Runge T, Greganti MA. Epipericardial fat necrosis – a rare cause of pleuritic chest pain: case report and review of the literature. Arch Med Sci. 2011;7(2):337-41.