Conteúdo copiado com sucesso!

Necrose de Papila

Voltar
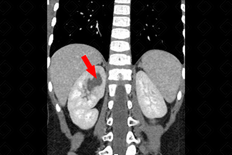
Texto alternativo para a imagem Figura 1. Créditos: Dra. Elazir Mota - Rio de Janeiro/RJ
Texto alternativo para a imagem Figura 2. Créditos: Dra. Elazir Mota - Rio de Janeiro/RJ

Descrição das figuras 1 e 2: Tomografia computadorizada do abdome nas fases portal (esquerda) e excretora (direita) evidenciando falha de enchimento na topografia do cálice menor e pirâmide, com preenchimento periférico do contraste (seta vermelha), por necrose papilar.

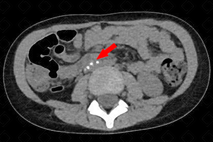
Texto alternativo para a imagem Figura 3. Créditos: Dra. Elazir Mota - Rio de Janeiro/RJ




Descrição da figura 3: Ao avaliar a tomografia do mesmo paciente, observamos a presença de linfonodos calcificados no mesentério (seta vermelha), levando à suspeita de tuberculose como etiologia para necrose capilar, confirmada posteriormente.

Necrose de papila: T ambém conhecida por papilite necrosante, t rata-se da isquemia ou infarto da papila renal. A medula e papila renais são ambientes propícios para necrose devido ao seu tipo de suprimento sanguíneo (via final de suprimento sanguíneo) e ambiente hipertônico. [cms-watermark]

O que seria a papila renal? Onde está localizada? A s papilas renais são as porções mais internas das regiões medulares de cada uma das pirâmides renais. Formam saliências convexas que se projetam nos cálices renais.

Causas de necrose papilar: D oenças que acarretam nefropatia tubulointersticial crônica, acometendo predominantemente a porção mais interna da medula renal. São elas: uso de AINEs, abuso de analgésicos, diabetes mellitus, anemia falciforme, pielonefrite, tuberculose, doenças obstrutivas, trombose de veia renal e cirrose.

    Exames de imagem:
  • Urografia excretora: T ipo de exame contrastado muito realizado no passado, mas cada vez menos utilizado nos dias atuais. Realiza-se injeção venosa de contraste iodado e radiografias consecutivas são realizadas a fim de avaliar a excreção do contraste pelo sistema coletor renal. Os cálices menores, maiores e a pelve renal vão concentrar e excretar o contraste iodado, sendo preenchidos. Já a pirâmide renal se projeta em direção ao cálice menor e, no exame normal, se apresentará como "falha de enchimento". Quando há necrose papilar, ocorre uma ruptura e há uma nítida comunicação entre o cálice menor e a papila, ocorrendo o preenchimento desta última estrutura por contraste iodado;
  • Urotomografia: A pesar da radiação ionizante, tem sido um exame cada vez mais utilizado para confirmar este diagnóstico. Observaremos um cálice convexo com extravasamento de contraste para a papila renal, na maioria dos casos (f iguras 1 e 2) . No caso apresentado, tratava-se de paciente com tuberculose - observe os linfonodos calcificados no mesentério (f igura 3) .

Autor(a) principal: Elazir Mota (Radiologia, especialista em Radiologia Pediátrica).

Gay SB, Woodcock RJ. Radiology Recall. Lippincott Williams & Wilkins, 2007.

Kawashima A, Vrtiska TJ, Leroy AJ, et al. CT urography. Radiographics. 2004;24(Suppl 1):S35-54.

KimSH. Renal papillary necrosis. In: Kim SH, ed. Radiology illustrated: uroradiology. Philadelphia, Pa: Saunders, 2003;273-310.

offeSA, Servaes S, Okon S, Horowitz M. Multidetector row CT urography in the evaluation of hematuria. RadioGraphics. 2003;23(6):1441-1456.