Conteúdo copiado com sucesso!

Nefrolitíase

Voltar
Texto alternativo para a imagem
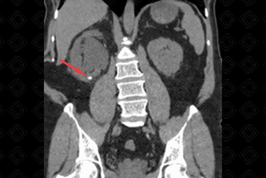
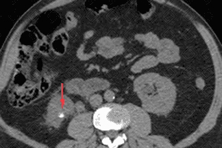
Texto alternativo para a imagem Figuras 1 e 2. Créditos: Dra Elazir Mota - Rio de Janeiro/RJ

Descrição das figuras 1 e 2: Tomografia computadorizada do abdome sem a administração do contraste venoso evidencia cálculo no terço inferior do rim direito (seta vermelha), medindo 0,6 cm e com densidade de 780 UH (figura 1).

Texto alternativo para a imagem Figura 3. Créditos: Dra. Elazir Mota - Rio de Janeiro/RJ

Descrição da figura 3: Ultrassonografia do aparelho urinário. Presença de imagem hiperecogênica, com sombra acústica posterior, no terço superior do rim direito, compatível com cálculo renal.

Nefrolitíase : Ocorrem em geral, por supersaturação da urina (por algum distúrbio metabólico), com nucleação e precipitação de cristais associado a crescimento e agregação (aderidos ao urotélio das papilas renais). Os principais tipos de cálculo são o oxalato de cálcio (70-80%), estruvita (10-20%), ácido úrico (5-10%), hidroxiapatita (6%), cistina (2-3%) e outros raros (1%).

Quadro clínico: C álculos no sistema coletor são assintomáticos . Os sintomas como dor, náuseas e vômitos surgem quando o cálculo migra para o ureter correspondente. Para mais informações, acesse Ureterolitíase.

    Exames de imagem:
  • Radiografia de abdome: Não é mais recomendado para rastreio de nefrolitíase. Alguns cálculos são radiossensíveis na radiografia, ou seja, não visualizados, como cálculo de ácido úrico e por uso de medicações, como o Indinavir;
  • Ultrassonografia do abdome: Po de ser um método utilizado principalmente na população pediátrica, pela não presença de radiação ionizante. É um bom método para cálculos com mais de 3-4 cm. Aparece na imagem como foco hiperecogênico, com sombra acústica posterior e com artefato de twinkle no Doppler colorido, podendo estar associado ou não ao artefato em cauda de cometa;
  • Tomografia computadorizada do abdome: Exame padrão-ouro. Na tomografia computadorizada do abdome é sempre importante descrever a quantidade de cálculos, suas dimensões, densidade (por meio da densidade, podemos saber a respeito da composição do cálculo) e localização. Importante lembrar também que para avaliação de litíase, seja ela renal, ureteral ou vesical, o estudo deve ser feito sem a administração do contraste venoso. A administração de contraste fica reservada para avaliação de complicações, como suspeita de pielonefrite ou abcessos renais. Vale destacar que o cálculo de Indinavir (inibidor de protease - medicação para HIV) também não é visualizado na tomografia.

Diagnósticos diferenciais: O principal diagnóstico diferencial na imagem são com nefrocalcinoses medulares ou corticais, bem como calcificações na artéria renal.

Autoria principal: Elazir Mota (Radiologia, especialista em Radiologia Pediátrica).

Brisbane W, Bailey MR, Sorensen MD. An overview of kidney stone imaging techniques. Nat Rev Urol. 2016; 13(11): 654-662.

Preminger GM, Tiselius HG, Assimos DG, et al. EAU/AUA Nephrolithiasis Guideline Panel. 2007 guideline for the management of ureteral calculi. J Urol. 2007; 178(6):2418-34.

Tchelepi H, Ralls PW. Color comet-tail artifact: clinical applications. AJR Am J Roentgenol. 2009; 192 (1): 11-8.

Yongzhi L, Shi Y, Jia L, et al. Risk factors for urinary tract infection in patients with urolithiasis-primary report of a single center cohort. BMC Urol. 2018; 18(1):45.

Fishman MC, Hoffman AR, Klausner RD, et al. Medicine. 5th ed. Philadelphia: Lippincott Williams & Wilkins, 2002.