Conteúdo copiado com sucesso!

Neoplasia Renal

Voltar
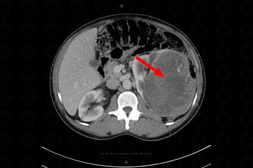
Texto alternativo para a imagem Créditos: Athena Hub/Medical Harbour

Descrição da figura : Tomografia computadorizada do abdome, estudo pós-contraste, fase portal evidenciando lesão hipovascular, heterogênea, no terço superior do rim esquerdo (seta vermelha).

Neoplasia renal: Trata-se de um grupo extenso de lesões renais. Por questões didáticas, abordaremos dentro das neoplasias renais somente as lesões que são sólidas nos exames de imagem. [cms-watermark]

    Neoplasias renais (leões sólidas):
  • Carcinoma de células renais: Cerca de 50% dos pacientes são assintomáticos, predomínio nas 6 a a 7 a décadas de vida, pacientes com Von Hippel Lindau, Birt Hogg Dubé e esclerose tuberosa são mais suscetíveis. Seu principal subtipo é o carcinoma de células claras (essas lesões apresentam intenso realce na fase pós-contraste, realce este com aspecto heterogêneo, pela intensa necrose e sangramento);
  • Angiomiolipoma : Trata-se da lesão renal sólida benigna mais comum. Se a lesão apresentar gordura macroscópica na tomografia computadorizada, o diagnóstico está selado. Em geral, os angiomiolipomas são lesões solitárias (quando observamos mais de um, pensar na possibilidade de esclerose tuberosa);
  • Oncocitoma: Segunda lesão sólida benigna mais comum no rim. Na tomografia, apresentam-se como lesões bem definidas, com realce pós-contraste uniforme, podendo apresentar cicatriz central ;
  • Carcinoma de células transicionais: Também conhecido como carcinoma de células uroteliais, frequentemente surgem na pelve renal ;
  • Linfoma: O rim trata-se de um sítio de acometimento extranodal comum, especialmente no linfoma não Hodgkin. Em geral, apresentam-se como múltiplas massas com realce pós-contraste pobre ou como lesão retroperitoneal com invasão renal ;
  • Metástases: Os tumores primários que mais comumente metastatizam para os rins são: pulmão, mama, trato gastrointestinal e melanoma.
Estadiamento do carcinoma de células renais
Estágio 1 T1N0M0 Tumor limitado ao rim < 7 cm
Estágio 2 T2N0M0 Tumor limitado ao rim > 7 cm
Estágio 3 T3 ou TN1M0 Crescimento interno na gordura perirrenal, mas não ultrapassa fáscia de Gerota ou apresenta trombose tumoral
Estágio 4 T4 ou M1 Invade adrenal ipsilateral ou envolve fáscia de Gerota
    Exames de imagem:
  • Tomografia computadorizada do abdome: Sempre seve ser realizado após a administração do contraste venoso, contendo as fases portal e excretora (tardia). Lesões com forte impregnação pelo meio de contraste, em geral, serão ou carcinoma de células renais (subtipo células claras) ou oncocitoma ou angiomiolipoma pobre em gordura (f igura acima);
  • Ressonância magnética do abdome: Interessante nas lesões renais para adequada confirmação de lesões císticas, caracteriza melhor o realce da lesão e define se o pseudo-realce na tomografia é de fato verdadeiro. Também deve ser realizado contraste venoso;
  • Ultrassonografia de abdome: Em muitos casos, acaba sendo o primeiro exame solicitado por queixas abdominais vagas e observa-se uma lesão renal. Sempre será necessário complementar imagem com TC ou RM de abdome.

Autoria principal: Elazir Mota (Radiologia, especialista em Radiologia Pediátrica).

Solid Renal Masses: What the Numbers Tell Us AJR. 2014; 202:1196-1206.

Characterization and staging of renal tumors: significance of MRI diagnostics]. Kalinka A, Gerlach A, Arlart IP, Günes N, Hauser TK, Würstlin S, Bosse A. Rofo. 2006; 178(3):298-305.

Small Renal Masses without Gross Fat: What Is the Role of Contrast-Enhanced MDCT? Repeckaite G, Zviniene K, Jankauskiene J, Basevicius A, Milonas D. Diagnostics (Basel). 2022; 12(2):553.

Machine learning-based CT radiomics approach for predicting WHO/ISUP nuclear grade of clear cell renal cell carcinoma: an exploratory and comparative study. Xv Y, Lv F, Guo H, Zhou X, Tan H, Xiao M, Zheng Y. Insights Imaging. 2021; 12(1):170.