Conteúdo copiado com sucesso!

Obstrução Intestinal de Delgado

Voltar
Texto alternativo para a imagem
Texto alternativo para a imagem Créditos: Dra. Elazir Mota - Rio de Janeiro/RJ

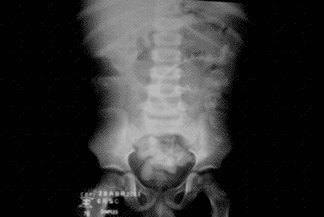
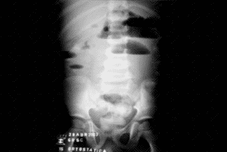
Descrição das imagens: Radiografia de abdome em decúbito dorsal (A) e ortostase (B). Observar o surgimento de diversos níveis hidroaéreos na radiografia em ortostase sugerindo obstrução de alças de delgado.

    Obstrução intestinal de delgado: Existem diversas condições que podem levar a um quadro de obstrução do intestino delgado e elas podem ser divididas em dois grandes grupos:
  • A) Congênitas: Atresia duodenal ou jejunal ou ileal, volvo do intestino médio, cisto de duplicação intestinal , cisto mesentérico e divertículo de Meckel;
  • B) Adquiridas: Bridas, hérnia interna, lesões expansivas, isquemia intestinal, enterite actínica, doença inflamatória intestinal (Crohn, retocolite ulcerativa), tuberculose , gastroenterite eosinofílica, endometriose, invaginação intestinal , corpo estranho , bezoar, íleo meconial.

Quadro clínico: Dor e distensão abdominal, acompanhada de náuseas e/ou vômitos.

    Exames de imagem:
  • Radiografia de abdome: Os principais achados na radiografia de abdome diante de quadro obstrutivo do intestino delgado, conforme demonstrado nas imagens acima, são: alças de delgado distendidas vão predominar na porção central do abdome; as válvulas coniventes são visualizados (caracterizando o clássico sinal do "empilhamento de moedas"); ausência de gás no reto (no caso das obstruções completas); mais de três níveis hidroaéreos na radiografia em ortostase;
  • Ultrassonografia de abdome: N a população pediátrica pode ter grande valia e deve ser solicitada;
  • Tomografia computadorizada de abdome: S empre com a administração do contraste venoso. Traz informações muito úteis, auxiliando a definir causas cirúrgicas de não cirúrgicas e suas complicações, como perfuração intestinal, pneumoperitônio.

Diagnósticos diferenciais: "Alça sentinela" (segmento curto de aperistalse em geral, na alça ileal, por algum processo inflamatório adjacente, como por exemplo, apendicite aguda).

Autoria principal: Elazir Mota (Radiologia, especialista em Radiologia Pediátrica).

Dähnert W. Radiology Review Manual. 7th ed. Philadelphia: Lippincott Williams & Wilkins, 2011.

Silva AC, Pimenta M, Guimarães LS. Small bowel obstruction: what to look for. Radiographics. 2009; 29(2):423-39.

Brant WE, Helms CA. Fundamentals of Diagnostic Radiology. 5th ed. Philadelphia: Lippincott Williams & Wilkins, 2018.

Frauenfelder T, Wildermuth S, Marincek B et-al. Nontraumatic emergent abdominal vascular conditions: advantages of multi-detector row CT and three-dimensional imaging. Radiographics. 2004; 24 (2): 481-96.