Conteúdo copiado com sucesso!

Osteocondroma

Voltar
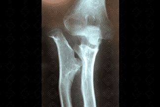
Texto alternativo para a imagem Figura 1. Créditos: Dra Elazir Mota - Rio de Janeiro/RJ
Texto alternativo para a imagem Figura 2. Créditos: Dra Elazir Mota - Rio de Janeiro/RJ

Descrição da lesão: Osteocondromas ou exostoses cartilaginosas múltiplas.

Descrição das figuras 1 e 2: Radiografia do antebraço e cotovelo em AP evidenciando múltiplas exostoses ósseas (figura 1 - setas vermelhas) na metáfise proximal do rádio e distal da ulna. As exostoses ósseas originam-se no ápice das metáfises em sentido contrário às epífises.

Osteocondroma: T umor ósseo benigno, relativamente comum, presente em cerca de 10-15% dos tumores ósseos. Antes categorizado dentro de tumores ósseos, hoje em dia parece estar mais relacionado à anomalia de desenvolvimento ósseo.

Quadro clínico: N a maioria do casos, os pacientes são assintomáticos. Os sintomas surgem quando há efeito compressivo vascular ou nervoso, mais comumente.

Essas lesões apresentam baixo potencial maligno, principalmente quando solitárias. No caso da osteocondromatose múltipla, há um risco pequeno de malignização (condrossarcoma), motivo pelo qual estes pacientes precisam ser acompanhados.

    Exames de imagem:
  • Radiografia ossos longos: Pode ter aspecto séssil ou pedunculado, mais comumente observado na região metafisária, com crescimento contrário a epífise;
  • Tomografia dos ossos longos: Mostra aspecto semelhante à radiografia, com este tipo de lesão predominando nos ossos longos (principal local é o fêmur distal, seguido pela tíbia proximal). A capa cartilaginosa quando espessada já pode ser observada na tomografia;
  • Ressonância magnética dos ossos longos : Indicada para avaliação da capa cartilaginosa e sua espessura, principalmente quando há suspeita de malignização (uma capa cartilaginosa com espessura acima de 1,5 cm em paciente que já atingiram a maturação esquelética é suspeita para malignização);
  • Ultrassonografia : Pode ser um método excelente para avaliar a capa cartilaginosa, quando realizada por radiologista experiente no método.

Diagnósticos diferen ciais: P rocesso supracondilar (quando localizado no úmero - variante anatômica), miosite ossificante e fraturas por avulsão.

Autoria principal: Elazir Mota (Radiologia, especialista em Radiologia Pediátrica).

Bernard S, Murphey M, Flemming D, et al. Improved Differentiation of Benign Osteochondromas from Secondary Chondrosarcomas with Standardized Measurement of Cartilage Cap at CT and MR Imaging. Radiology. 2010; 255(3):857-65.

Dähnert W. Radiology Review Manual. 6th ed. Philadelphia: Lippincott Williams & Wilkins, 2007.

Kitsoulis P, Galani V, Stefanaki K, et al. Osteochondromas: review of the clinical, radiological and pathological features. In Vivo. 2008; 22:633-646.

Murphey MD, Choi JJ, Kransdorf MJ, et al. Imaging of osteochondroma: variants and complications with radiologic-pathologic correlation. Radiographics. 2000; 20(5):1407-34.

Wicklund CL, Pauli RM, Johnson DR, et al. The natural history of hereditary multiple exostoses. Am J Med Genet. 1995; 55:43.