Conteúdo copiado com sucesso!

Osteomielite

Voltar
Texto alternativo para a imagem
Texto alternativo para a imagem
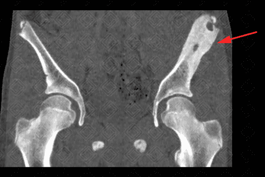
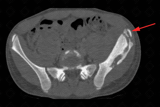
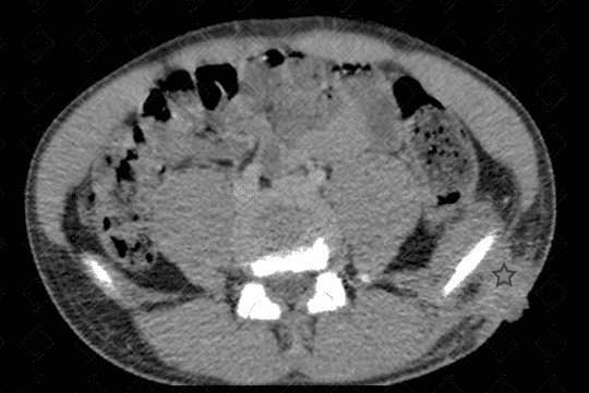
Texto alternativo para a imagem Figuras 1, 2 e 3. Créditos: Dra. Elazir Mota - Rio de Janeiro/RJ

Descrição das figuras 1, 2 e 3: Tomografia computadorizada de bacia, após a administração do contraste venoso. Paciente do sexo masculino, 13 anos, evidenciando extensa área de esclerose na asa do ilíaco esquerdo, com áreas líticas de permeio (setas vermelhas). Na janela de partes moles, observa-se aumento de partes moles e coleção adjacente à lesão óssea descrita (asterisco).

Osteomielite aguda: I nfecção óssea com frequente acometimento da cavidade medular; sua principal etiologia é bacteriana. Na forma aguda, é aquela que ocorre com menos de 4 semanas dos sintomas clínicos.

Os ossos longos são os locais mais comumente acometidos, principalmente a região metafisária nas crianças, por ser o local do osso longo com maior suprimento sanguíneo.

Quadro clínico: D or localizada no osso acometido, onde podem surgir alguns sinais flogísticos, como edema e vermelhidão. Sintomas inespecíficos também são comuns como febre alta, inapetência, anorexia e queda do estado geral.

    Exames de imagem: Os principais achados na fase inicial são lesões ósseas (visualizadas na fase inicial somente na ressonância e o abscesso superiosteal).
  • Ressonância magnética com contraste: Padrão ouro para o diagnóstico de osteomielite aguda. Detecta as lesões ósseas com mais precocidade quando comparada à tomografia e radiografia;
  • Radiografia da região de interesse: Em fase inicial, pode ser um exame normal, sem evidências de lesões líticas;
  • Ultrassonografia : Na população pediátrica é um exame muito solicitado, pois é possível a detecção com tranquilidade do abscesso subperiosteal, selando o diagnóstico (quando associado a uma história clínica adequada) de osteomielite aguda;
  • Tomografia computadorizada com contraste venoso: Essencial a administração do contraste venoso para adequada detecção dos abscessos superiosteais e outras coleções de partes moles.

Diagnósticos diferenciais: Tumores ósseos primários (principalmente os metafisários), histiocitose e metástases.

Autoria principal: Elazir Mota (Radiologia, especialista em Radiologia Pediátrica).

Gonzalez BE, Teruya J, Mahoney DH Jr, et al. Venous thrombosis associated with staphylococcal osteomyelitis in children. Pediatrics. 2006; 117(5):1673-1679.

Guillerman RP. Osteomyelitis and beyond. Pediatr Radiol. 2013; 43(Suppl 1): S193-S203.

Averill LW, Hernandez A, Gonzalez L, et al. Diagnosis of osteomyelitis in children: utility of fat-suppressed contrast-enhanced MRI. AJR Am J Roentgenol. 2009; 192(5):1232-1238.

Pineda C, Vargas A, Rodríguez A. Imaging of Osteomyelitis: Current Concepts. Infect Dis Clin North Am. 2006; 20(4):789-825.

Sarkar. Invited Commentary. Radiographics. 2000; 20(6):1660-3..