Conteúdo copiado com sucesso!

Pancreatite Aguda

Voltar
Texto alternativo para a imagem
Texto alternativo para a imagem Créditos: Dra. Elazir Mota - Rio de Janeiro/RJ
    Descrição das imagens:
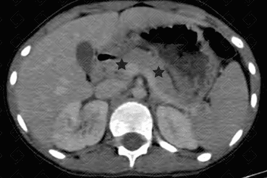
  • Tomografia computadorizada do abdome com contraste venoso, evidenciando pâncreas com espessura e densidade normais (asteriscos pretos);
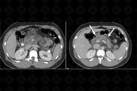
  • Setas brancas evidenciam pâncreas de volume aumentado e densificação/infiltração da gordura peripancreática. Observar nos asteriscos brancos a presença de duas coleções fluidas no espaço pararrenal à direita e goteria parietocólica à esquerda.

Pancreatite aguda: C ondição inflamatória causada por ativação intracelular e extravasamento inapropriado de enzimas proteolíticas que determinam destruição do parênquima pancreático e dos tecidos peripancreáticos.

Quadro clínico: I nício abrupto de dor epigástrica de forte intensidade, em barra (que se irradia para o dorso - ocorre em 50% dos pacientes), com piora na posição supina e com anorexia/hiporexia. Exames laboratoriais revelam aumento de lipase e amilase - 3 vezes o valor da normalidade.

    Achados de imagem:
  • Tomografia computadorizada do abdome: Importante enfatizar que a avaliação da pancreatite aguda inicial, ou seja, nas primeiras 72 horas, deve ser feita com base na história clínica e exames laboratoriais. A tomografia computadorizada do abdome deve ser realizada numa fase mais tardia (após 72 horas) com o objetivo de avaliar possíveis complicações. O estudo deve ser realizado antes e após o contraste venoso. E xame de escolha;
  • Ressonância magnética do abdome: N ão é exame de escolha na suspeita de pancreatite aguda;
  • Ultrassonografia do abdome: Auxilia na avaliação de possíveis causas relacionadas a pancreatite aguda, como cálculos nas vias biliares. Há aumento das dimensões pancreáticas, com hipoecogenicidade do parênquima associado ou não à presença de coleções e aumento da ecogenicidade da gordura peri-pancreática.
    Classificação de Balthazar:
  • Pâncreas normal (figura 1);
  • Pâncreas com aumento do volume (densidade, realce pelo contraste e gordura adjacente são normais);
  • Infiltração extensa da gordura peripancreática;
  • Presença de uma coleção fluida peripancreática (acúmulo de líquido homogêneo e sem paredes);
  • Duas ou mais coleções fluidas peripancreáticas (figura 2).

Diagnóstico diferencial: A denocarcinoma pancreático, pancreatite autoimune, linfoma pancreático e úlcera péptica.

Autoria principal: Elazir Mota (Radiologia, especialista em Radiologia Pediátrica).

Bharwani N, Patel S, Prabhudesai S, et al. Acute pancreatitis: the role of imaging in diagnosis and management. Clin Radiol. 2011; 66:164-75.

Mortele KJ 1st, Wiesner W, Intriere L, et al. A modified CT severity index for evaluating acute pancreatitis: improved correlation with patient outcome. AJR Am J Roentgenol. 2004; 183(5):1261-5.

O'Connor OJ, McWilliams S, Maher MM. Imaging of acute pancreatitis. AJR Am J Roentgenol. 2011; 197:W221-5.

Bradley EL. A clinically based classification system for acute pancreatitis: summary of the International Symposium on Acute Pancreatitis. Arch Surg. 1993; 128:586-590.

Banks P, Bollen T, Dervenis C, et al. Classification of Acute Pancreatitis--2012: Revision of the Atlanta Classification and Definitions by International Consensus. Gut. 2013; 62(1):102.