Conteúdo copiado com sucesso!

Pancreatite Crônica

Voltar
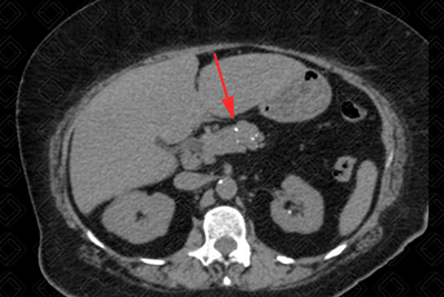
Texto alternativo para a imagem Figura 1. Créditos: Dra. Elazir Mota - Rio de Janeiro/RJ
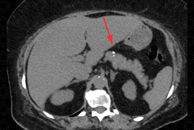
Texto alternativo para a imagem Figura 2. Créditos: Dra. Elazir Mota - Rio de Janeiro/RJ

Descrição das figuras 1 e 2: Tomografia computadorizada do abdome. Pâncreas com discreto afilamento difuso e apresentando focos de calcificação dispersos pelo parênquima pancreático (setas vermelhas).

Pancreatite crônica: Fibrose progressiva do parênquima pancreático secundário a episódios inflamatórios recorrentes, culminando em insuficiência exócrina e endócrina do órgão. As suas principais causas são alcoolismo, idiopática, genética, autoimune e obstrutiva (secundária a coledocolitíase, neoplasia da cabeça pancreática).

Quadro clínico: D or abdominal e, com o avançar da doença, o paciente pode evoluir com esteatorreia, perda de peso e diabetes. O paciente pode apresentar, ainda, icterícia, hematêmese ou melena.

    Achados de imagem:
  • Ultrassonografia do abdome: O s achados de imagem podem ser de difícil visualização, pois numa fase mais avançada o pâncreas comumente está atrófico. Pode-se observar um aumento difuso da ecogenicidade (sugerindo fibrose), focos de calcificação e atrofia do parênquima em fases mais tardias;
  • Tomografia computadorizada do abdome: Ducto pancreático principal dilatado (valor de referência normal até 3,5 mm), calcificações pancreáticas, redução do volume pancreático, alteração do seu contorno e surgimento de pseudocistos (figura 1);
  • Ressonância magnética do abdome: Alterações mais precoces como redução do sinal pancreático nas sequências T1 fat sat, redução e atraso no realce pancreático após a administração do contraste venoso. Já em uma fase mais tardia, formação de pseudocistos, atrofia do parênquima, ectasia/dilatação do ducto pancreático principal e calcificações.

Diagnósticos diferenciais: N os exames de imagem, diante dos achados característicos, é dificíl pensar em outra possibilidade diagnóstica.

Autoria principal: Elazir Mota (Radiologia, especialista em Radiologia Pediátrica).

Whitcomb DC, Shimosegawa T, Chari ST, et al. International consensus statements on early chronic pancreatitis: recommendations from the working group for the international consensus guidelines for chronic pancreatitis in collaboration with the International Association of Pancreatology, American Pancreatic Association, Japan Pancreas Society, PancreasFest Working Group and European Pancreatic Club. Pancreatology. 2018; 18(5):516-527.

Conwell DL, Lee LS, Yadav D, et al. American Pancreatic Association practice guidelines in chronic pancreatitis: evidence-based report on diagnostic guidelines. Pancreas 2014; 43(8):1143–1162.

Miller FH, Keppke AL, Wadhwa A, et al. MRI of pancreatitis and its complications: part 2, chronic pancreatitis. AJR Am J Roentgenol. 2004; 183(6):1645-52.

Shanbhogue AK, Fasih N, Surabhi VR, et al. A clinical and radiologic review of uncommon types and causes of pancreatitis. Radiographics. 2009; 29(4):1003-26.

Etemad B, Whitcomb DC. Chronic pancreatitis: diagnosis, classification, and new genetic developments. Gastroenterology. 2001; 120(3):682-707.