Conteúdo copiado com sucesso!

Parotidite Aguda

Voltar
Texto alternativo para a imagem Figura 1. Créditos: Dra. Elazir Mota - Rio de Janeiro/RJ

Descrição da figura 1: Ultrassonografia da região cervical evidenciando a glândula parótida direita aumentada de volume e heterogênea, com ectasia dos ductos glandulares (setas vermelhas).

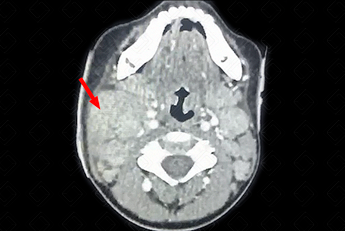
Texto alternativo para a imagem Figura 2. Créditos: Dra. Elazir Mota - Rio de Janeiro/RJ

Descrição da figura 2: Tomografia computadorizada do pescoço após administração do meio de contraste evidenciando glândula parótida direita com dimensões muito aumentadas e com hiper-realce pós-contraste (seta vermelha).

Parotidite aguda: T rata-se da inflamação aguda da glândula parótida, na maioria das vezes, causada por processo infeccioso prévio.

Quadro clínico: S ensibilidade ou dor na hemiface acometida, podendo ocorrer associado edema facial. Pode estar associado, ainda, à febre e leucocitose.

A parotidite é uma doença extremamente comum na faixa pediátrica. O vírus da caxumba ( Paramyxovirus ), em geral, causa comprometimento bilateral. No entanto, acometimento unilateral também pode ocorrer. Sialoadenite bacteriana é especialmente comum nas crianças e a glândula parótida é a mais comumente acometida, sendo seu principal agente etiológico envolvido o Staphylococcus aureus.

    Achados de imagem:
  • U ltrassonografia cervical: E xame de imagem de escolha na população pediátrica. Demonstra com clareza o aumento de volume da glândula, sua heterogenicidade, com focos hiperecogênicos puntiformes que representam a ectasia dos ductos glandulares e linfonodos de permeio, bem como aumento da vascularização no estudo com Doppler colorido (f igura 1) ;
  • T omografia computadorizada do pescoço: D eve ser realizada somente diante da suspeita de complicações, como presença de abscessos. Também observaremos após a administração do contraste uma glândula com sua atenuação e volume aumentados, difusamente heterogênea, podendo conter pequenas coleções no seu interior. Aqui vale a ressalva de realizar o estudo do pescoço sempre com o uso de contraste venoso (f igura 2) ;
  • Ressonância magnética do pescoço: P ouco usada na faixa pediátrica pelo seu difícil acesso e necessidade de realização de sedação para adequada aquisição de imagens. Caso solicitada, observaremos baixo sinal difuso em T1 e alto ou baixo sinal em T2 a depender da presença de edema ou processo inflamatório exsudativo.

Diagnósticos diferenciais: C istos linfoepiteliais intra-parotídeos (em paciente HIV+), doença da arranhadura do gato, tuberculose , outras micobacterioses atípicas e parotidite recorrente da infância.

Autoria principal: Elazir Mota (Radiologia, especialista em Radiologia Pediátrica).

Chalard, F., Hermann, AL., Elmaleh-Bergès, M. et al. Imaging of parotid anomalies in infants and children. Insights Imaging 13; 27, 2022.

Clemente EJI, Navallas M, Tolend M, et al. Imaging Evaluation of Pediatric Parotid Gland Abnormalities. RadioGraphics 2018 38:5, 1552-1575.

Sreeja C, Shahela T, Aesha S, et al. Taxonomy of salivary gland neoplasm. J Clin Diagn Res 2014;8(3):291-293.

Som PM, Curtin HD. Head and neck imaging. 5th ed. Vol 1. St Louis, Mo: Elsevier Mosby, 2011.

Boyd ZT, Goud AR, Lowe LH, et al. Pediatric salivary gland imaging. Pediatr Radiol 2009;39(7):710-722.

Sreeja C, Shahela T, Aesha S, et al. Taxonomy of salivary gland neoplasm. J Clin Diagn Res 2014;8(3):291-293.