Conteúdo copiado com sucesso!

Pielonefrite Aguda

Voltar
Texto alternativo para a imagem Créditos: Dra Elazir Mota - Rio de Janeiro/RJ
Texto alternativo para a imagem Créditos: Dra Elazir Mota - Rio de Janeiro/RJ
Texto alternativo para a imagem Créditos: Dra Elazir Mota - Rio de Janeiro/RJ

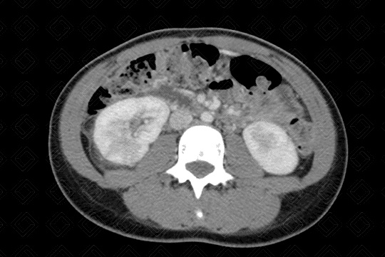
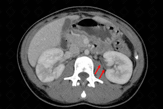
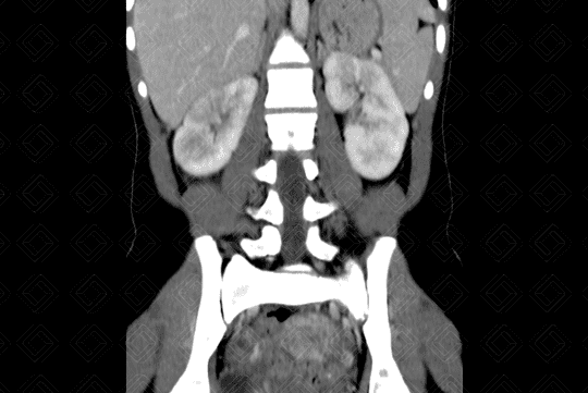
Descrição da lesão: Tomografia computadorizada após a administração do contraste venoso (imagens no plano axial - figuras 1 e 3; e plano coronal - figura 2). Observa-se realce heterogêneo do parênquima renal, com áreas hipocaptantes do meio de contraste venoso (aspecto conhecido como nefrograma estriado).

Há, ainda, lâmina líquida no espaço perirrenal direito (figura 1) e espessamento do urotélio à esquerda (figura 3 - seta vermelha). Estes aspectos são compatíveis com pielonefrite aguda.

Pielonefrite aguda: É a infecção do parênquima e da pelve renal, inclusive dos túbulos e interstício.

Quadro clínico: A pielonefrite bacteriana aguda apresenta geralmente quadro súbito de febre, calafrios e dor lombar uni ou bilateral. Com frequência, esses sintomas são acompanhados de queixas urinárias, como disúria, urgência e frequência. Outras manifestações, como hematúria, dor abdominal, náuseas, vômitos e diarreia, podem ocorrer.

    Exames de imagem:
  • Ultrassonografia do aparelho urinário : Papel limitado na avaliação da pielonefrite aguda e na maioria dos pacientes, este exame será normal. A sua principal validade seria para detectar hidronefrose, cálculos e anormalidades renais predisponentes;
  • Tomografia computadorizada (TC) do abdome: M étodo de escolha principalmente, quando complicações são suspeitadas. No estudo sem contraste, o exame pode parecer normal. Os vários achados diagnósticos da pielonefrite aguda somente começam a aparecer na fase pós-contraste do estudo, com a visualização de uma ou mais áreas estriadas bem definidas de hipoatenuação, estendendo-se do sistema coletor até a cápsula renal, espessamento e realce do urotélio. Confirma ou afasta ainda complicações como já dito anteriormente, sendo a principal, o abscesso renal;
  • Ressonância magnética (RM) do abdome: O emprego da ressonância magnética pode ser considerado nas situações de contraindicação ao contraste iodado que irá mostrar achados semelhantes aos da TC. As dificuldades da RM estão na detecção de cálculos e na diferenciação destes com coleção gasosa. Há ainda poucas publicações que descrevem o uso da RM na avaliação da doença inflamatória renal.

Diagnósticos diferenciais: I nfarto renal, sarcoidose, nefrite intersticial induzida por drogas e linfoma.

Autoria principal: Elazir Mota (Radiologia, especialista em Radiologia Pediátrica).

Belyayeva M, Jeong JM. Acute Pyelonephritis. [Internet]. StatPearls. Treasure Islamd, FL: StatPearls Publishing. (Accessed on June 27, 2023).

Fukami H, Takeuchi Y, Kagaya S, et al. Perirenal fat stranding is not a powerful diagnostic tool for acute pyelonephritis. Int J Gen Med. 2017; 10:137-144.

Johnson PT, Horton KM, Fishman EK. Optimizing detectability of renal pathology with MDCT: protocols, pearls, and pitfalls. AJR Am J Roentgenol. 2010; 194(4):1001-12.

Craig WD, Wagner BJ, Travis MD. Pyelonephritis: radiologic-pathologic review. Radiographics: a review publication of the Radiological Society of North America. 2008; 28(1):255-77.