Conteúdo copiado com sucesso!

Pneumatose Intestinal

Voltar
Texto alternativo para a imagem
Texto alternativo para a imagem Créditos: Dra. Elazir Mota - Rio de Janeiro/RJ

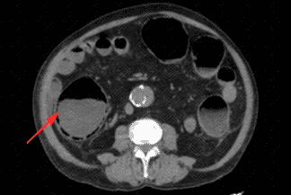
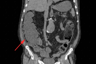
Descrição das imagens: Tomografia computadorizada do abdome evidenciando importante distensão das alças de cólon ascendente e ceco, em associação com a presença de gás na parede destas alças (setas vermelhas), o que caracteriza a pneumatose intestinal.

Pneumatose intestinal: Caracteriza-se pela presença de gás no interior da parede intestinal. Sua incidência é desconhecida, pois a maioria dos pacientes apresenta-se sem sintomas clínicos.

Pode ser encontrada tanto em crianças quanto em adultos jovens e idosos. Existem algumas condições potencialmente graves que podem estar relacionadas à pneumatose e, por isso, é de suma importância que o radiologista saiba reconhecer este sinal e o descreva em seu relatório. A causa mais preocupante na faixa pediátrica é a enterocolite necrotizante e no adulto jovem/idoso é a isquemia mesentérica.

Quadro clínico: Q u adro clínico variável a depender da causa da pneumatose intestinal.

    Exames de imagem:
  • Radiografia de abdome: Presença de gás na parede da alça (pouco usada nos dias de hoje);
  • Ultrassonografia de abdome: I magens ecogênicas lineares, podem ser visualizadas na submucosa da alça. Vale destacar, no entanto, que tem seu valor quando realizado por profissional experiente;
  • Tomografia computadorizada do abdome: M elhor método para avaliação de pneumatose intestinal e pneumoperitônio.

Diagnósticos diferenciais: A bordamos aqui os diagnósticos diferenciais possíveis quando visualizamos pneumatose intestinal e são eles: isquemia mesentérica, doença inflamatória intestinal, medicamentosa, imunossupressão, pneumatose primária (idiopática), iatrogenia, enterocolite necrotizante.

Autoria principal: Elazir Mota (Radiologia, especialista em Radiologia Pediátrica).

Lassandro G, Picchi SG, Romano F, et al. Intestinal pneumatosis: differential diagnosis. Abdom Radiol (NY). 2022; 47(5):1529-1540.

Pickhardt PJ, Kim DH, Taylor AJ. Asymptomatic pneumatosis at CT colonography: a benign self-limited imaging finding distinct from perforation. AJR Am J Roentgenol. 2008; 190(2): W112-7.

Ho LM, Paulson EK, Thompson WM. Pneumatosis intestinalis in the adult: benign to life-threatening causes. AJR Am J Roentgenol. 2007; 188(6): 1604-1.

Devos AS, Blickman JG. Radiological Imaging of the Digestive Tract in Infants and Children. 1st ed. Berlin: Springer, 2007.