Conteúdo copiado com sucesso!

Pneumonia

Voltar
Texto alternativo para a imagem Créditos: Dra Elazir Mota - Rio de Janeiro/RJ
Texto alternativo para a imagem Créditos: Dra Elazir Mota - Rio de Janeiro/RJ

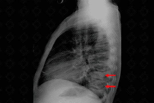
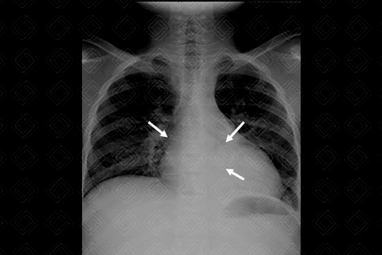
Descrição da lesão: Radiografia de tórax: incidências AP e perfil (figuras 1 e 2, respectivamente). Observa-se na radiografia em AP (figura 1): opacidade arredondada retrocardíaca (setas brancas). Ao analisar a radiografia em perfil (figura 2), deve-se estar atento ao gradiente normal da coluna (os corpos vertebrais superiores devem ser "mais brancos", ou seja, mais radiopacos quando comparados aos inferiores, que naturalmente são mais hipertransparentes). Neste caso, observamos que os corpos vertebrais inferiores estão mais brancos que o habitual, ou seja, o foco de consolidação encontra-se no lobo inferior do pulmão (setas vermelhas). Observação : Sabemos que a consolidação está no pulmão esquerdo, pois observa-se "apagamento" do diafragma esquerdo no perfil, indicando que a pneumonia retrocardíaca visualizada no AP de tórax encontra-se no lobo inferior do pulmão esquerdo.

Pneumonia: Termo genérico usado para descrever uma infecção no parênquima pulmonar, usualmente com conteúdo purulento preenchendo os alvéolos. Pode apresentar várias causas: infecciosa (podendo ser bacteriana, fúngica, viral) e por múltiplos agentes.

Quadro clínico: N a maioria dos casos, paciente apresenta queda do estado geral, febre, inapetência, tosse produtiva.

    Exames de imagem:
  • Radiografia de tórax: E xame de escolha ainda nos dias atuais, por expor o paciente a menores doses de radiação ionizante. A tomografia de tórax deve ser solicitada nos casos em que a radiografia foi inconclusiva ou paciente evolui com piora clínica e suspeita de complicações;
  • Ultrassonografia de tórax : Muito útil nos dias atuais, especialmente na população pediátrica;
  • Tomografia computadorizada do tórax: N as suspeitas de pneumonia complicada , deve ser realizada após a administração do contraste venoso.

Diagnósticos diferenciais: A telectasia, aspiração, infarto pulmonar, edema e hemorragia.

Autoria principal: Elazir Mota (Radiologia, especialista em Radiologia Pediátrica).

Fleischner Society: Glossary of Terms for Thoracic Imaging by David M. Hansell et al Radiology. 2008; 246:697.

O’Grady KF, Torzillo PJ, Frawley K, et al. The radiological diagnosis of pneumonia in children. Volum 5. Pneumonia. 2014; 38-51.

Arthur R. Interpretation of the paediatric chest x-ray. Current Paediatrics. 2003; 13:438-447.

Prasso JE, Deng JC. Postviral Complications: Bacterial Pneumonia. Clinics in chest medicine. 2017; 38(1):127-138.

Collins J, Stern EJ. Chest Radiology: The Essentials. 3rd ed. Alphen aan den Rijn: Wolters Kluwer, 2014.